Main menu
Common skin conditions
NEWS
Join DermNet PRO
Read more
Quick links
Infections Diagnosis and testing
Author: Assoc Prof Patrick Emanuel, Dermatopathologist, Auckland, New Zealand, 2013.
Verruca plana (plane warts) are caused by specific human papillomavirus (HPV) types.
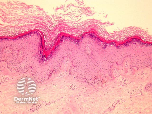
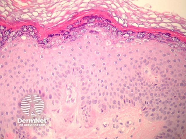
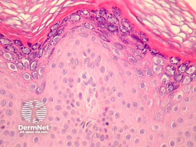
Sections show orthokeratosis, mild papillomatosis, and mild acanthosis (figure 1). There is usually no or minimal parakeratosis. The dermis is normal. The upper epidermis shows hypergranulosis and numerous koilocytes (figures 2, 3). Regressing lesions may show a lymphocytic response and keratinocyte apoptosis.

Figure 1

Figure 2

Figure 3
Special investigations are generally not required.
Verruca vulgaris – Typically shows marked papillomatosis with parakeratotic foci. Distinction can be difficult in involuting verruca vulgaris.
Squamous cell carcinoma in situ – Full thickness keratinocyte atypia should be carefully ruled out at high power examination.
Epidermodysplasia verruciformis – This condition typically shows verruca plana-like changes. Characteristic blue-grey cytoplasmic changes are seen.