Main menu
Common skin conditions
NEWS
Join DermNet PRO
Read more
Quick links
Author: Assoc Prof Patrick Emanuel, Dermatopathologist, Auckland, New Zealand, 2013.
Introduction Histology Special studies Differential diagnoses
Epidermodysplasia verruciformis (EV) is a rare autosomal recessive genodermatosis due to mutations of the EVER1/TMC6 or EVER2/TMC8 genes which result in an intrinsic immunodeficiency against certain human papillomavirus (HPV) types. EV is also seen in patients infected with human immunodeficiency virus (HIV), and with CD8 T-cell lymphocytopenia or graft versus host disease (GVHD).
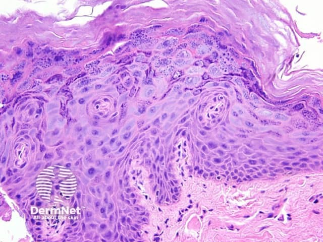
Histopathology of EV lesions shows enlarged cells in the granular or spinous layer. These have a quite distinctive blue-gray swollen cytoplasm. (figure 1) which reflects HPV infection by the unusual HPV types seen in this disorder. There may be enlarged keratohyaline granules and koilocytes.
Other skin lesions seen in EV may show a verruca plana or verruca vulgaris morphology. This is thought to reflect the subtype of HPV involved.
Keratinocytic dyplasia and squamous cell carcinoma may be seen associated with the HPV-induced lesions in EV.

Figure 1
PCR may be used to identify the EV-HPV subtypes. HPV-3,5,8,9,10,13,14,15,17,19-25,28,29,36-38,46,47,49,50,59 have been isolated.
EV-like changes — foci of EV changes may rarely be seen incidentally on actinically damaged skin, or as part of an acanthoma (“EV-acanthoma”).
Squamous cell carcinoma in situ (Bowen disease) — sometimes the cytoplasm in a non-HPV induced dysplastic epithelium can be pale or clear similar to that seen in figure 1. EV lesions may also harbour dysplasia or carcinoma.