Main menu
Common skin conditions
NEWS
Join DermNet PRO
Read more
Quick links
Infections Diagnosis and testing
Author: Assoc Prof Patrick Emanuel, Dermatopathologist, Auckland, New Zealand, 2013.
Verruca vulgaris (common viral wart) is a keratotic lesion caused by specific human papillomavirus (HPV) types.
Histopathologic examination of verruca vulgaris reveals a markedly papillomatous epidermis with hypergranulomatosis and overlying tiers of parakeratosis (figure 1).
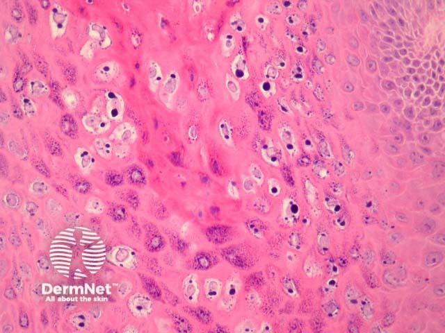
The upper epidermis may contain large pink inclusions (figure 2), particularly in cases arising on acral skin. Other lesions show smaller basophilic granules (figure 3). Characteristic vacuolated keratinocytes (koilocytes), which have a small shrunken nucleus surrounded by a perinuclear halos, are seen in the upper epidermis (figure 3).

Figure 1

Figure 2

Figure 3
Special stains are not required to make the diagnosis. PCR may be used to identify the HPV type.
Seborrhoeic keratosis – Distinction can be difficult for older verrucas in which the viropathic effect is difficult to appreciate. Some pathologists use the term “verrucal keratosis” or similar in cases where a clear distinction cannot be made.
Molluscum contagiosum – The large viral inclusions of molluscum should not be confused with the very large basophilic inclusions which may be seen in some verrucae (figure 2). Large HPV inclusions are usually seen in lesions occurring on acral skin, an exceedingly uncommon site for molluscum contagiosum.