Main menu
Common skin conditions
NEWS
Join DermNet PRO
Read more
Quick links
Infections Diagnosis and testing
Author: Assoc Prof Patrick Emanuel, Dermatopathologist, Auckland, New Zealand, 2013.
Molluscum contagiosum is caused by the infection of superficial portions of the follicular units by a pox virus of the Molluscipox virus genus. Its curious striking predilection for follicle infundibular epithelium ensures it is seldom seen on non hair-bearing sites outside of the severely immunosuppressed setting.
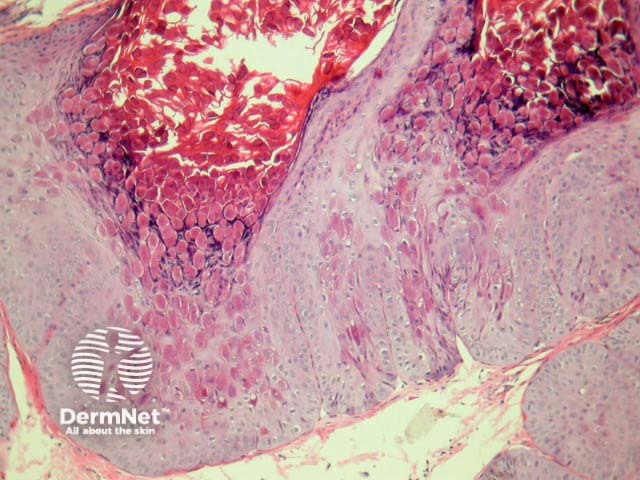
In molluscum contagiosum, there is usually pronounced infundibular hyperplasia and papillomatosis with central umbilication. (figure 1).
Millions of virions that have proliferated in the cytoplasm of affected epithelial cells result in the characteristic intracytoplasmic bodies that compress the keratinocyte nucleus (figure 2). This viral inclusion is the largest in all of human histopathology (figure 3).
Follicular rupture may occur resulting in extensive folliculitis, suppuration and inflammatory changes. In such cases, the viral inclusions may be difficult to find.

Figure 1

Figure 2

Figure 3
The characteristic histopathology of the viral inclusions seen in molluscum contagiosum ensure that special stains have limited utility. Lendrum’s phloxine tartrazine stains positively and may have some utility in cases obfuscated by an intense infiltrate.
Verruca vulgaris, myrmecia type – The large eosinophilic keratohyaline granules of human papillomavirus (HPV) infection have been mistaken for molluscum. The inclusions are usually granular, and the myrmecia-type warts typically occur on non-hair-bearing acral sites (an extremely rare site for molluscum contagiosum).
Atypical lymphoid infiltrate – Ruptured molluscum infected follicles may elicit a markedly atypical lymphoid response. Rare cases have been mistaken for lymphomatoid papulosis.