Main menu
Common skin conditions
NEWS
Join DermNet PRO
Read more
Quick links
Diagnosis and testing Inflammation
Author: Assoc Prof Patrick Emanuel, Dermatopathologist, Auckland, New Zealand. January 2015.
Subcutaneous fat necrosis of the newborn is a rare disorder that occurs in term or post-term neonates. Typical lesions include smooth, erythematous, subcutaneous nodules or plaques located on the cheeks, shoulders, back, buttocks, or thighs. Lesions usually develop within the first weeks of life and regress over the following weeks without treatment.
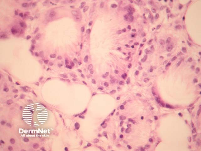
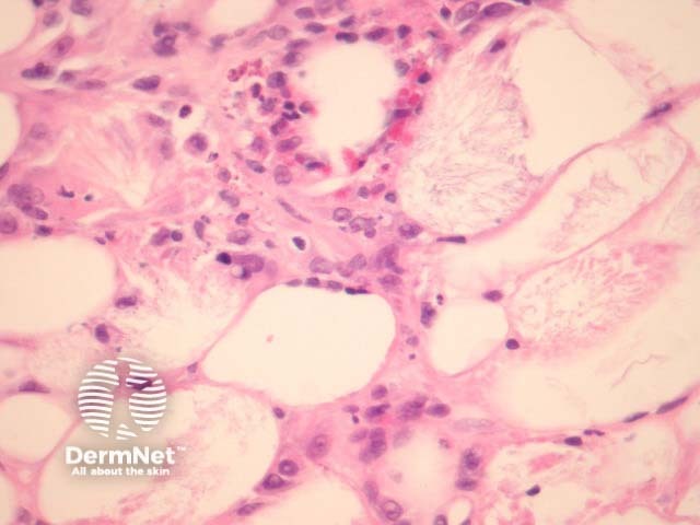
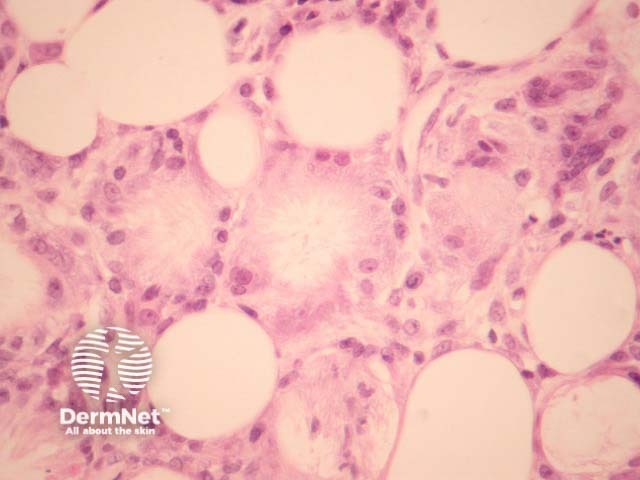
In subcutaneous fat necrosis of the newborn there is a lobular panniculitis with an infiltrate of mixed inflammatory cells. Needle-shaped clefts, in radial array, are seen in adipocytes and giant cells (figures 1–4) .

Figure 1

Figure 2

Figure 3

Figure 4
None are generally needed.
Sclerema neonatorum: This shows identical crystals but there is minimal associated infiltrate or reaction.
Poststeroid panniculitis: This can be histologically identical and may need clinical correlation for confident distinction.