Main menu
Common skin conditions
NEWS
Join DermNet PRO
Read more
Quick links
Reactions Diagnosis and testing
Author: Assoc Prof Patrick Emanuel, Dermatopathologist, Auckland, New Zealand. January 2015.
Poststeroid panniculitis is a rare complication of systemic corticosteroid therapy. Clinically, erythematous nodules and indurated plaques develop on the cheeks of children within days or weeks following rapid systemic steroid tapering or cessation.
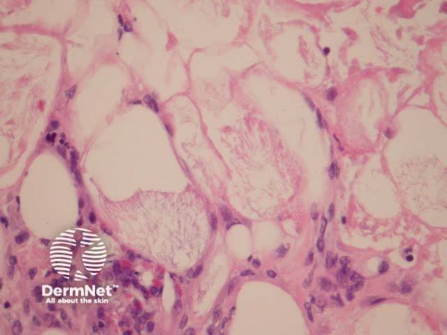
Poststeroid panniculitis presents as lobular panniculitis with a mixed inflammatory infiltrates without vasculitis. Needle-shaped crystals within adipocytes are characteristic (figure 1). The clefts may be surrounded by foreign body giant cells.

Figure 1
None are generally needed.
The clinical history of abrupt steroid withdrawal is helpful.
Sclerema neonatorum — This shows identical crystals but there is minimal associated infiltrate or reaction.
Subcutaneous fat necrosis of the newborn — This can be histologically identical and may need clinical correlation for confident distinction