Main menu
Common skin conditions
NEWS
Join DermNet PRO
Read more
Quick links
Author: Adjunct A/Prof Patrick Emanuel, Dermatopathologist, Clínica Ricardo Palma, Lima, Peru. DermNet Editor in Chief: Adjunct A/Prof Amanda Oakley. Copy edited by Maria McGivern/Gus Mitchell. September 2018.
Sclerosing lipogranuloma usually presents as a painless or slightly tender, indurated mass on the penis, scrotum, spermatic cord and perineum. It is typically due to injection or topical application of oil based substances (paraffin, silicone, oil or wax) for cosmetic or therapeutic use.
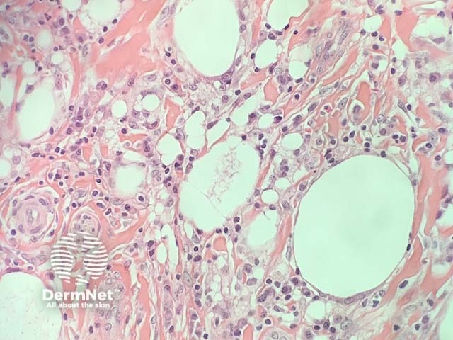
In sclerosing lipogranuloma, the histopathology shows fat necrosis, histiocytes, giant cells with extensive fibrosis and hyalinization. There are polymorphous vacuoles of the foreign material and pseudocysts where there is more extensive accumulation of material (figures 1,2).

Figure 1

Figure 2
None are generally needed. Oil Red O for frozen tissue is positive but rarely used.
Other diagnoses to be considered include: