Main menu
Common skin conditions
NEWS
Join DermNet PRO
Read more
Quick links
Blood vessel problems Diagnosis and testing
Author: Adjunct A/Prof Patrick Emanuel, Dermatopathologist, Clinica Ricardo Palma, Lima, Peru. DermNet Editor-in-chief: Adjunct A/Prof Amanda Oakley. July 2018.
Lymphangioma circumscriptum presents on the skin surface as grapelike groups of thin-walled, translucent, lymph-filled vesicles, often compared with frog spawn. Haemorrhage within the lesions can create a deep red or black appearance.
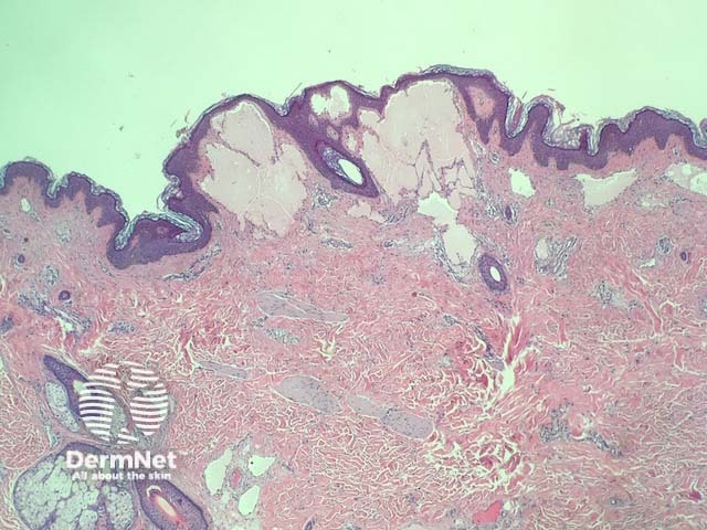
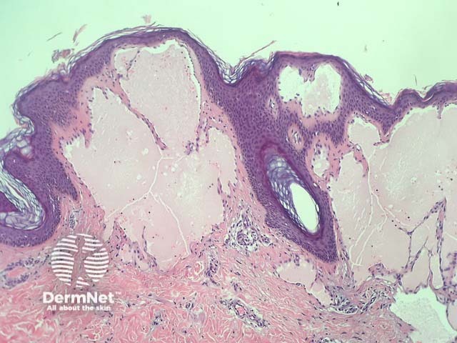
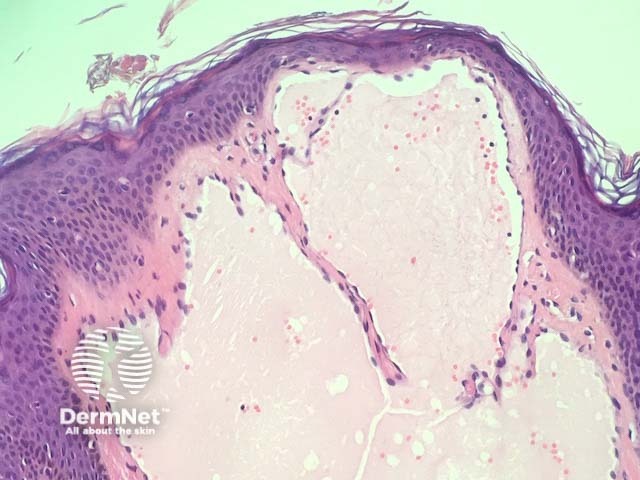
In lymphangioma circumscriptum, histopathological examination reveals acanthosis and hyperkeratosis of epidermis (figure 1). Within the papillary and reticular dermis, there are dilated lymphatic channels containing eosinophilic proteinaceous material in the papillary dermis (figures 2,3).

Figure 1

Figure 2

Figure 3
None are usually needed. Lymphatic architecture can be highlighted with immunohistochemical markers such as D2-40.
Angiokeratoma can look very similar to lymphangioma circumscriptum but are composed of blood vessels containing blood rather than lymphatics containing lymphatic fluid.