Main menu
Common skin conditions
NEWS
Join DermNet PRO
Read more
Quick links
Author: Assoc Prof Patrick Emanuel, Dermatopathologist, Auckland, New Zealand, 2014.
Reticular Erythematous Mucinosis or REM is a rare dermatosis characterised by papules and plaques on the upper trunk which often coalesce into a reticulated pattern. Some authors consider this entity a form of cutaneous lupus erythematosus.
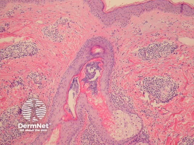
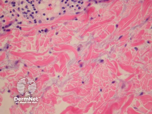
In REM, sections show a superficial and deep perivascular and periadnexal mononuclear infiltrate (figure 1). The epidermis is uninvolved. The presence of copious mucin between collagen fibres of the dermis is characteristic of the disorder (figures 2, 3).

Figure 1

Figure 2

Figure 3
The mucin may be difficult to appreciate on routine H-E sections. Special stains for mucin (such as colloidal iron or hyaluronic acid) can be helpful to confirm the presence of dermal mucin.
Scleroedema – This entity also shows mucin deposition but typically lacks an associated inflammatory infiltrate.
Lupus – Tumid lupus can look identical to REM. The clinical presentation can help distinguish these entities. Some authorities consider REM a form of lupus.