Main menu
Common skin conditions
NEWS
Join DermNet PRO
Read more
Quick links
Author: Dr Harriet Cheng, Dermatology Registrar, Waikato Hospital, Hamilton, New Zealand; Dr Duncan Lamont, Pathologist, Waikato Hospital, Hamilton, New Zealand; A/Prof Patrick Emanuel, Dermatopathologist, Auckland, New Zealand, 2014.
Introduction Histology Special studies Differential diagnoses
Discoid lupus erythematosus (DLE) is the most common form of cutaneous lupus erythematosus. It is classified as either localised, affecting skin above the neck only, or generalised, affecting above and below the neck. Risk of systemic lupus erythematosus is approximately 5%. The lesions are typically chronic scaly plaques on the face, scalp and ears. Eventually, scarring occurs which may be associated with dyspigmentation and alopecia.
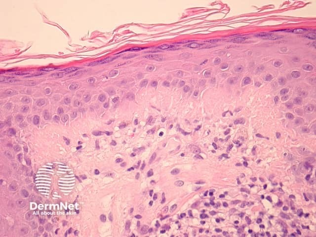
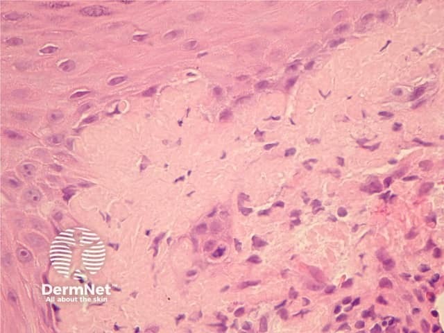
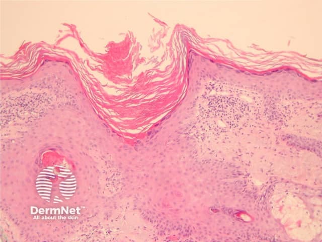
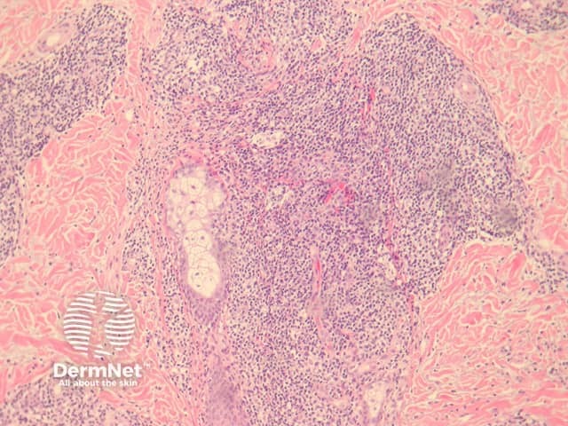
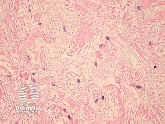
In DLE, sections reveal the dermis contains a perivascular and periadnexal lymphohistiocytic infiltrate under an interface dermatitis (figure 1). The epidermal interface activity shows degeneration of the basal layer, apoptotic keratinocytes and a marked thickening of the basement membrane (figures 2, 3). In well-established lesions, there may be marked follicular plugging (figure 4) and sometimes an epidermal reaction which may mimic a squamous cell carcinoma (verrucous lupus erythematosus). There is a characteristic lymphohistiocytic infiltrate surrounding appendages and vessels (figure 5). Deposition of dermal mucin may be impressive (figure 6).

Figure 1

Figure 2

Figure 3

Figure 4

Figure 5

Figure 6
Thickening of the basement membrane may be highlighted with periodic acid-Schiff (PAS). Mucin may be highlighted with alcian blue stain or colloidal iron.
Immunofluorescence may be positive for immunoglobulin (IgM, IgG and IgA) and complement at the dermoepidermal junction and around hair follicles. Band-like deposition at the dermoepidermal junction in non-lesional and non-sun exposed skin is associated with (but not diagnostic for) systemic disease.
Lichen planus — there are some overlapping features including interface activity and Civatte body formation. However, the latter is usually more conspicuous in lichen planus. Mucous membrane lesions are particularly difficult to distinguish. Lichen planus generally lacks the deep dermal and periadnexal inflammation seen in lupus. Immunofluorescence has been advocated as being useful but results may be confusing. For example, an overlap syndrome is reported where there is positivity for both IgM colloid bodies at the dermo-epidermal junction (lichen planus-like) and granular IgG at the basement membrane (lupus-like).
Jessner lymphocytic infiltrate — tumid lupus erythematosus (essentially DLE without epidermal changes) may be indistinguishable from DLE and some authorities believe these conditions are the same entity. Mucin deposition is more in keeping with DLE or tumid lupus.
Polymorphous light eruption (PMLE) — the deep infiltrate and some epidermal changes may cause confusion between these conditions without good clinical correlation. PMLE often shows impressive papillary dermal oedema rather than the mucin seen in DLE and basement membrane thickening should not usually be seen with PMLE.
Squamous cell carcinoma — hypertrophic lupus can resemble squamous cancer. The infiltrate and interface changes are helpful features in correctly diagnosing DLE. Note that squamous cell carcinoma can arise within chronic discoid lupus erythematosus.