Main menu
Common skin conditions
NEWS
Join DermNet PRO
Read more
Quick links
Lesions (benign) Diagnosis and testing
Author: Assoc Prof Patrick Emanuel, Dermatopathologist, Auckland, New Zealand, 2014.
Introduction Histology Special studies Differential diagnoses
Inflammatory Linear Verrucous Epidermal Naevus (ILVEN) is a distinct form of inflammatory epidermal naevus with a characteristic histopathology. Rarely, there may be associated abnormalities involving other ectodermal structures.
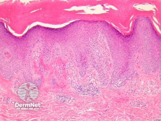
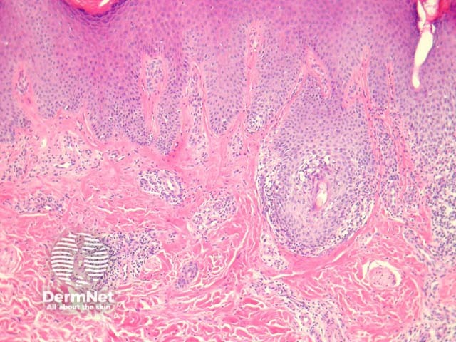
In ILVEN, sections show skin with psoriasiform epidermal hyperplasia with alternating orthokeratosis and parakeratosis (figure 1). The orthokeratotic areas overlie depressed epidermis with marked hypergranulosis (figure 2). The zones of parakeratosis overlie hypogranulosis (figure 3). There are spongiotic epidermal changes and small microvesicles. There is a mixed dermal inflammatory response (figure 4).

Figure 1

Figure 2

Figure 3

Figure 4
None are generally needed.
Epidermal naevus – This resembles seborrheic keratosis and generally lacks the inflammatory changes and characteristic changes in the stratum corneum seen in ILVEN.
Psoriasis — Distinction can be difficult without clinical correlation. Neutrophilic pustulation is generally not a feature of ILVEN.