Main menu
Common skin conditions
NEWS
Join DermNet PRO
Read more
Quick links
Lesions (benign) Diagnosis and testing
Author: Dr Ben Tallon, Dermatologist/Dermatopathologist, Tauranga, New Zealand, 2010.
Introduction Histology Histological variants Differential diagnoses
Epidermal naevus falls into the category of benign epidermal tumours.
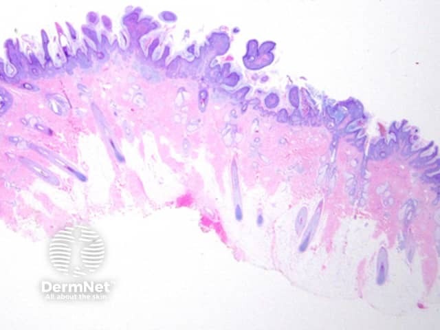
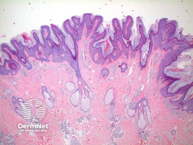
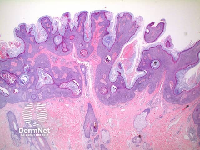
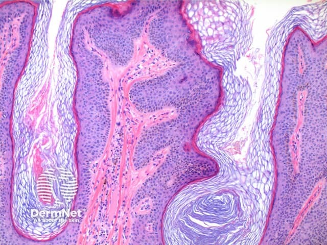
The scanning power view of an epidermal naevus is of an epidermal proliferative process (Figure 1). Low power reveals hyperkeratosis and papillomatosis across the breadth of the specimen (Figures 2,3). Epidermal hyperplasia forms finger-like projections with the intervening invaginations filled with hyperkeratotic material (Figure 4). Frequently incidental fungal spore forms are seen. Extending below the projections into the dermis are anastomosing thickened cords of the acanthotic epidermis (Figure 5). Dermal collagen and telangiectatic vessels can be seen within the papillary projections (Figures 5 and 6).
A variable inflammatory infiltrates may accompany the epidermal changes, more prominent in the inflammatory verrucous variant.

Figure 1

Figure 2

Figure 3

Figure 4

Figure 5

Figure 6
A number of reported variants exist including acantholytic, porokeratotic, acanthosis nigricans-like, Hailey-Hailey disease-like, and verrucous epidermal naevus.
Inflammatory Verrucous Epidermal Naevus (ILVEN) — this naevus is likely simply a subtype of the epidermal naevus. In addition to the superficial perivascular or lichenoid lymphocytic infiltrate specific epidermal changes are recognised. Areas of alternating parakeratosis and orthokeratosis are seen. Beneath the parakeratosis there is hypogranulosis, whereas beneath the orthokeratosis there is hypergranulosis.
Seborrhoeic keratosis — while clinical correlation is essential here, the presence of elongated down-growths of epidermis with some flattening at the base is more in keeping with an epidermal nevus.