Main menu
Common skin conditions
NEWS
Join DermNet PRO
Read more
Quick links
Diagnosis and testing Inflammation
Author: Dr Ben Tallon, Dermatologist/Dermatopathologist, Tauranga, New Zealand, 2011.
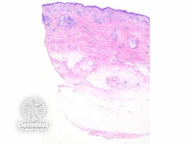
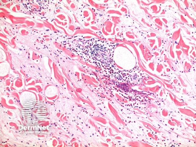
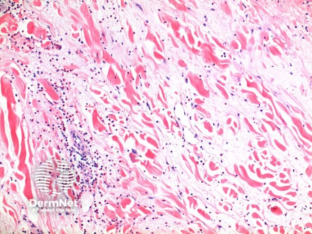
Scanning power view of Wells syndrome reveals a superficial and deep perivascular and interstitial inflammatory pattern (Figures 1 and 2). This can be seen to extend into the subcutaneous tissue (Figure 3) or even the underlying muscle. The inflammatory infiltrate is comprised of lymphocytes, histiocytes and abundant eosinophils (Figures 4,5 and 6). Degranulation of the eosinophils is seen forming flame figures (Figures 4 and 5). In this particular case extensive interstitial mucin is seen (Figures 4 and 5).

Figure 1

Figure 2

Figure 3

Figure 4

Figure 5

Figure 6
Bullous Wells disease: A subepidermal blister can form in the presence of prominent papillary dermal oedema.
Insect bite reaction: Typically here the infiltrate is more localised forming a wedge-shaped pattern possibly with focal overlying epidermal changes. In some cases discrimination is not possible and clinical correlation is required.
Bullous pemphigoid: In most circumstances, it is the urticarial phase of bullous pemphigoid which may prove difficult to discriminate. Eosinophils can be seen to tag along with the dermoepidermal junction in conjunction with basal layer vacuolar degeneration
Churg Strauss syndrome: While dermal eosinophilia and flame figures can be seen, this condition is characterised by necrotising granuloma formation and variable degrees of vasculitis.