Main menu
Common skin conditions
NEWS
Join DermNet PRO
Read more
Quick links
Author: Adjunct A/Prof Patrick Emanuel, Dermatopathologist, Clínica Ricardo Palma, Lima, Peru. DermNet Editor in Chief: Adjunct A/Prof Amanda Oakley. Copy edited by Gus Mitchell. September 2018.
Introduction
Histology
Special studies
Differential diagnoses
Verrucous haemangioma (American spelling hemangioma) presents as blue-red, vascular papules, plaques, or nodules, which later become warty in appearance. These lesions do not resolve spontaneously and have a tendency to recur after excision if margins are inadequate.
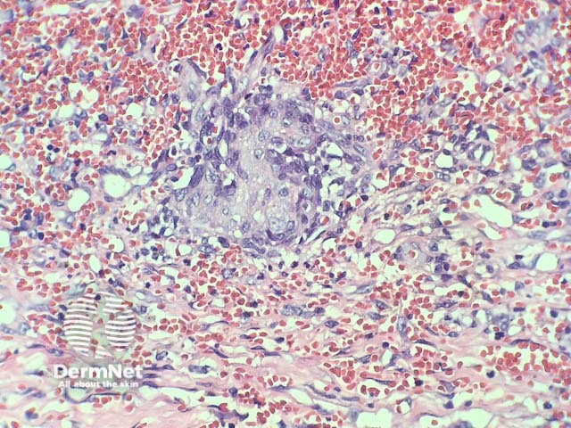
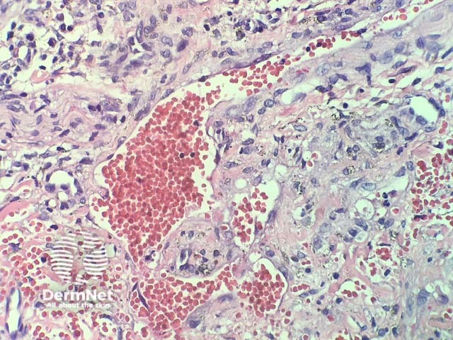
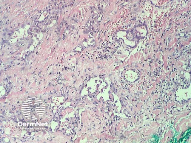
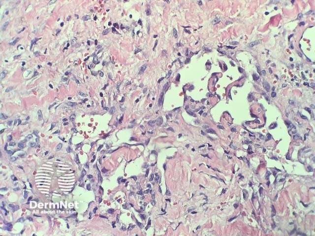
In verrucous haemangioma, the histopathology shows irregular papillomatosis, acanthosis and hyperkeratosis of the epidermis. The dermis shows multiple, thin-walled, dilated blood-filled spaces. Intravascular thrombosis with recanalisation and haemorrhage can be seen (figures 1–5).

Figure 1

Figure 2

Figure 3

Figure 4

Figure 5
Vascular markers can highlight the extent of the lesion (CD31, CD34).
Other conditions that should be considered include: