Main menu
Common skin conditions
NEWS
Join DermNet PRO
Read more
Quick links
Author: Assoc Prof Patrick Emanuel, Dermatopathologist, Auckland, New Zealand, 2013.
Failure of complete urachal lumen closure causes urachal cysts or a free communication between the bladder and the urachus in which urine leaks from the umbilicus.
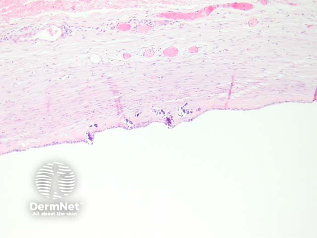
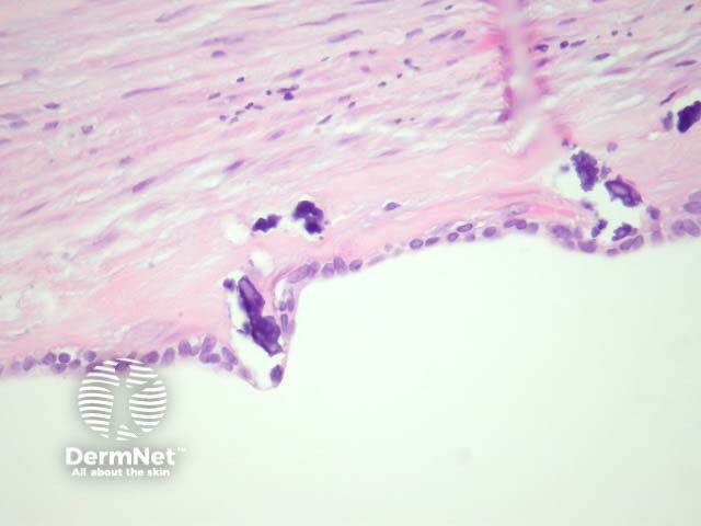
These are lined by urothelium, cuboidal, flat or atrophic epithelia (figures 1, 2, 3). The cyst may be located at any point between the bladder and the umbilicus. The surrounding dermis or soft tissue often shows fibrosis, calcification and reactive changes (figures 1, 2, 3)

Figure 1

Figure 2

Figure 3
None are generally needed.
Omphalomesenteric duct remnant – These patent ducts and cysts show the enteric mucosa rather than urothelial or a flat, attenuated epithelium.