Main menu
Common skin conditions
NEWS
Join DermNet PRO
Read more
Quick links
Lesions (benign) Diagnosis and testing
Author: Assoc Prof Patrick Emanuel, Dermatopathologist, Auckland, New Zealand, 2014.
Trichoadenomas (of Nikolowski) are benign follicular tumours that usually present as slow growing dermal masses. A rare verrucous variant has been described which resembles a benign keratosis clinically.
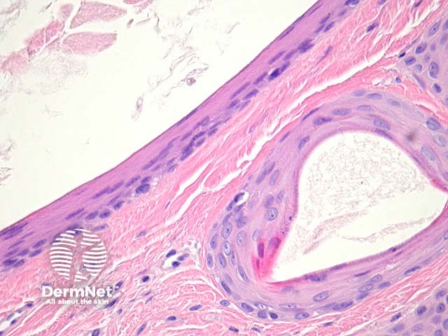
In trichoadenoma, there is a well defined dermal mass which contains numerous cysts and epithelial strands/islands(figures 1–3). Some of the cysts may rupture and there may be inflammatory changes and calcification. The cysts are lined by a benign infundibulum-like squamous epithelium as seen in an epidermoid cyst (figure 3).

Figure 1

Figure 2

Figure 3
None are generally needed.
This tumour is highly distinctive. A similar cystic component may be seen within other tumours such as trichoepithelioma and basal cell carcinoma, but the degree of cystification is generally much more extensive in trichoadenoma.