Main menu
Common skin conditions
NEWS
Join DermNet PRO
Read more
Quick links
Follicular disorder Diagnosis and testing
Author: Dr Ben Tallon, Dermatologist/Dermatopathologist, Tauranga, New Zealand, 2012.
Trichilemmal cyst is also known as pilar cyst. It is seen on the scalp and multiple cysts are common.
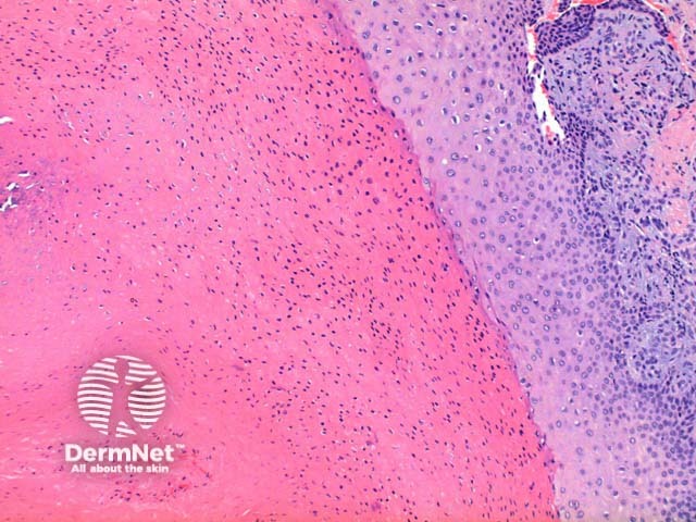
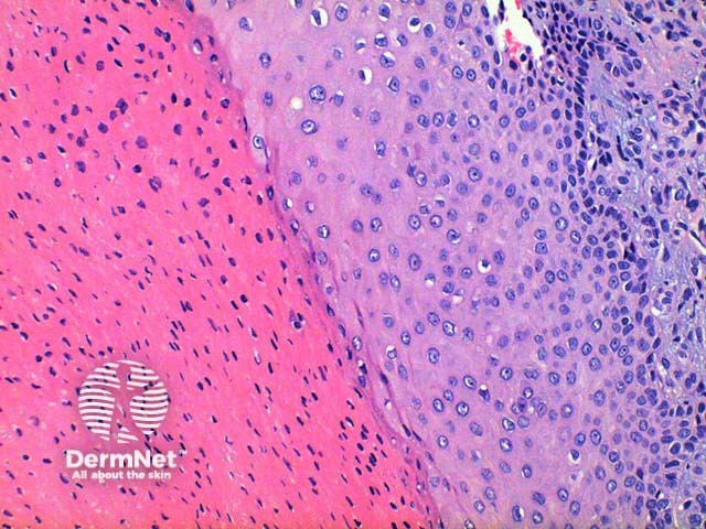
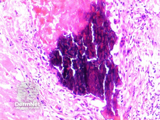
Scanning power view of trichilemmal cyst shows a epithelial lined cyst filled with brightly eosinophilic keratinaceous debris (Figure 1). Focal rupture of the cyst may occur with an associated giant cell reaction (Figure 2). Closer inspection of the cyst wall identifies trichilemmal differentiation (Figures 3 and 4) as occurs in the outer root sheath of the hair follicle. This is seen as maturation of squamous epithelium with lack of a granular layer. The eosinophilic keratin centrally is densely packed frequently displaying cholesterol clefts. Focal calcification is seen in around 25% of cases (Figure 5).

Figure 1

Figure 2

Figure 3

Figure 4

Figure 5
Epidermal inclusion cyst: This cyst retains a granular layer within the maturing epithelial cyst wall.
Vellus hair cyst: The cyst contents contain multiple vellus hairs seen as small non pigmented hair shafts.