Main menu
Common skin conditions
NEWS
Join DermNet PRO
Read more
Quick links
Treatments Lesions (cancerous)
Author: Adjunct A/Prof Patrick Emanuel, Dermatopathologist, Clínica Ricardo Palma, Lima, Peru. DermNet Editor in Chief: Adjunct A/Prof Amanda Oakley. Copy edited by Gus Mitchell. September 2018.
Introduction
Histology
Special studies
Differential diagnoses
New therapies targeting BRAF and MEK have emerged as the key component for the treatment of BRAF-mutant metastatic melanoma.
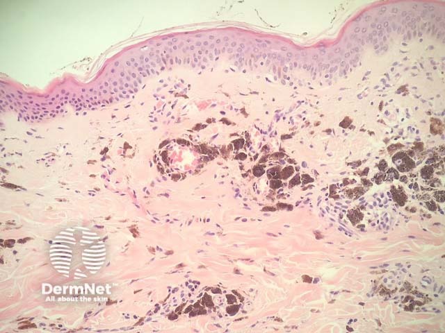
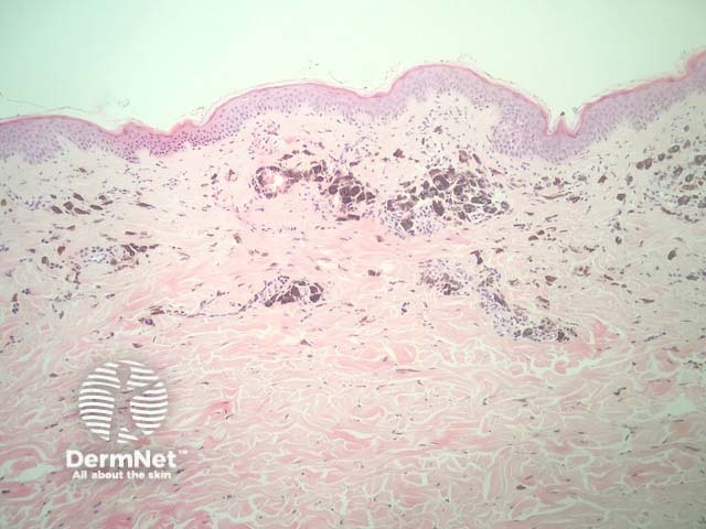
In melanoma treated with targeted BRAF and MEK therapy, the histopathology usually shows evidence of extensive regression with numerous melanophages and inflammatory cells within areas which previously housed melanoma (figures 1,2).

Figure 1

Figure 2
Given the extensive melanin deposition and inflammation, it can be difficult to appreciate viable residual melanoma. Bleaching the section can help reduce this difficulty. Immunohistochemistry with Sox-10 can help identify residual melanoma.
It is important to have the correct clinical context and a history of targeted therapy. Without this history, the histopathology could precisely resemble natural regression in melanoma or regression of other tumours such as pigmented basal cell carcinoma or other pigmented lesions.