Main menu
Common skin conditions
NEWS
Join DermNet PRO
Read more
Quick links
Systemic diseases Diagnosis and testing
Author: Adjunct A/Prof Patrick Emanuel, Dermatopathologist, Clínica Ricardo Palma, Lima, Peru. DermNet Editor in Chief: Adjunct A/Prof Amanda Oakley. Copy edited by Gus Mitchell. September 2018.
Introduction
Histology
Special studies
Differential diagnoses
Systemic amyloidosis caused by the buildup of amyloid in various organs. More than 30 different proteins can cause systemic amyloidosis and the causes are diverse.
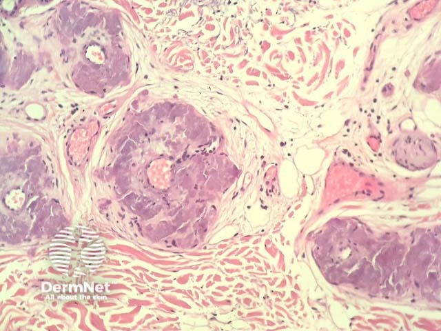
In systemic amyloidosis, the histopathology shows pale pink, extracellular, glassy, hyaline material mostly deposited in and around vessels (figures 1,2).

Figure 1

Figure 2
Amyloid stains positively with congo red, periodic acid–Schiff (PAS), crystal violet, and toluidine blue. Characteristically, the congo red stain produces an apple-green birefringence under polarised microscopy.
Other conditions that should be considered include: