Main menu
Common skin conditions
NEWS
Join DermNet PRO
Read more
Quick links
Author: Adjunct A/Prof Patrick Emanuel, Dermatopathologist, Clínica Ricardo Palma, Lima, Peru. DermNet Editor in Chief: Adjunct A/Prof Amanda Oakley. Copy edited by Gus Mitchell. September 2018.
Introduction Histology Special studies Differential diagnoses
Splenosis may present in the skin following splenic trauma and subsequent spread of benign splenic tissue into surrounding structures.
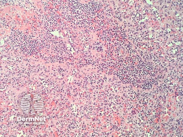
In splenosis, the histopathology shows normal splenic tissue, usually located in the subcutis (figures 1, 2). Spleen can be recognised by the presence of red pulp (composed of venous sinusoids allowing passing of red blood cells) and white pulp (composed of sheaths of lymphoid cells around arteries).

Figure 1

Figure 2
None are generally needed.
Other diagnoses to be considered include a dermal lymph node: this lacks the components seen in splenic tissue (red and white pulp).