Main menu
Common skin conditions
NEWS
Join DermNet PRO
Read more
Quick links
Lesions (benign) Diagnosis and testing
Author: Assoc Prof Patrick Emanuel, Dermatopathologist, Auckland, New Zealand, 2013.
Spindle cell lipoma typically occurs in the posterior neck, shoulder and back, and less commonly in a wide range of other locations. They are usually well circumscribed and based in subcutaneous tissue but purely dermal tumours also occur.
Spindle cell lipomas have a wide variety of appearances. They range from lesions which are mainly adipose tissue with scant spindle cell areas to those with very little fat and predominantly spindled cells (“fat free” variant).
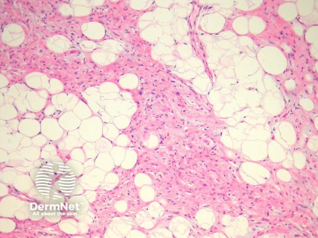
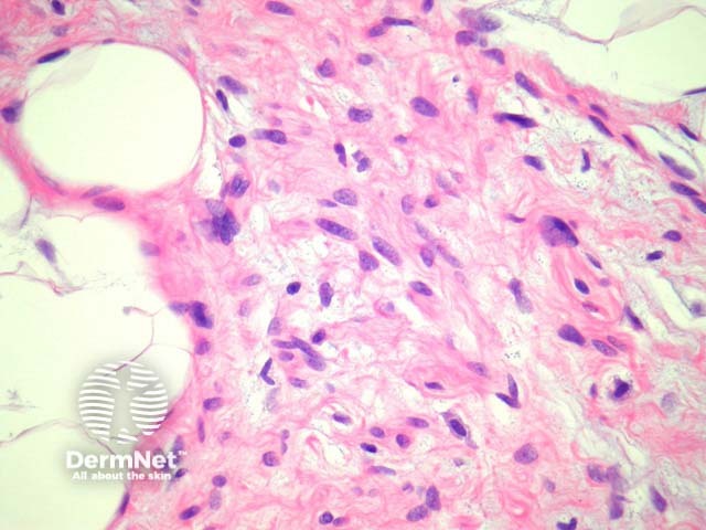
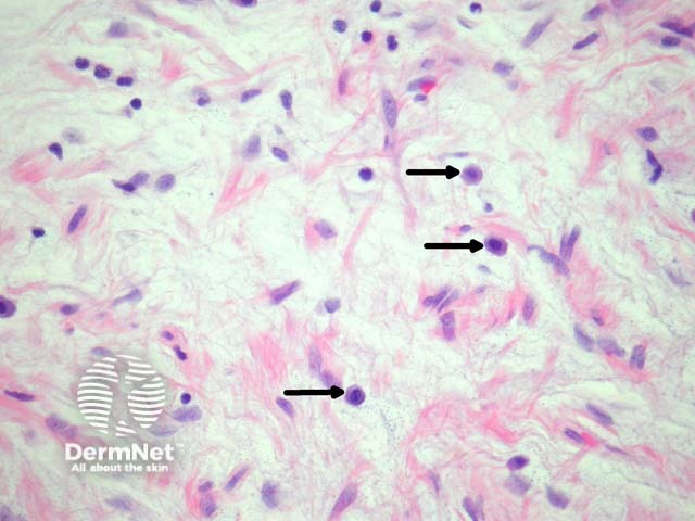
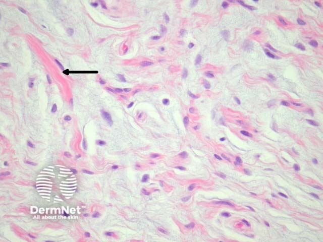
The classic spindle cell lipoma is composed of bland spindled cells intermixed with mature adipose tissue (figure 1). The spindled cells are uniform with narrow bipolar cytoplasmic processes (figure 2). Extensive myxoid change may be evident (figure 3) and there are often numerous mast cells (figure 3, arrows show mast cells). Ropey collagen is frequently seen which has been compared with grated carrot (figure 4, arrow shows classic collagen).
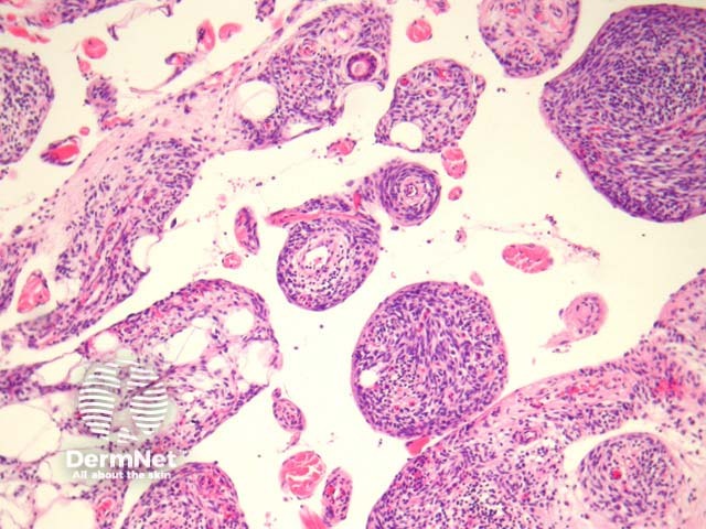
Unusually, spindle cell lipoma may exhibit a pseudoangiomatous morphology (figures 5, 6). Despite the unusual irregular clefts and soft tissue projections, the lesional cells themselves display the classic morphology of uniform cells with an elongated nucleus and bipolar cytoplasmic processes. Intermixed mature adipocytes are also usually seen.

Figure 1

Figure 2

Figure 3

Figure 4

Figure 5

Figure 6
Immunohistochemical studies of spindle cell lipoma reveal the spindled cells are strongly positive with CD34. S100 may stain the mature adipocytes but is usually negative within the spindled areas.
Cytogenetic studies may reveal spindle cell lipoma shows loss of chromosome 16q or 13q.
Pleomorphic lipoma – These lesions harbour the same cytogenetic abnormalities as spindle cell lipoma and are regarded by some authorities as the same entity. Pleomophic lipoma displays characteristic giant cells with hyperchromasia and a deeply eosinophilic cytoplasm.
Solitary fibrous tumour – These also exhibit CD34 positivity and can show ropey collagen and bland spindle cells similar to spindle cell lipoma. The absence of fat within solitary fibrous tumour is helpful. “Fat free” spindle cell lipoma can be difficult to distinguish from solitary fibrous tumour.