Main menu
Common skin conditions
NEWS
Join DermNet PRO
Read more
Quick links
Reactions Diagnosis and testing
Author: Assoc Prof Patrick Emanuel, Dermatopathologist, Auckland, New Zealand, 2013.
Silver nitrate can be mistaken for melanoma clinically. It typically presents on patients who work with the agent and unwittingly spill some of the agent onto their skin.
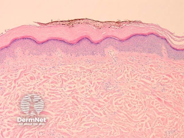
Brown-black granules are present in the stratum corneum (figures 1, 2). The illustrated case was removed due to a dermatoscopic suspicion of melanoma. The patient was a GP who had recently used silver nitrate for a medical procedure.

Figure 1

Figure 2
None are generally needed if the correct history can be elicited.
Melanoma – Careful examination for a melanocytic lesion is always warranted when the clinical impression is suspicious for melanoma
Tinea nigra – Pigmented fungi should be easily distinguished if the morphology is carefully examined