Main menu
Common skin conditions
NEWS
Join DermNet PRO
Read more
Quick links
Autoimmune/autoinflammatory Diagnosis and testing
Author: Dr Ben Tallon, Dermatologist/Dermatopathologist, Tauranga, New Zealand, 2011.
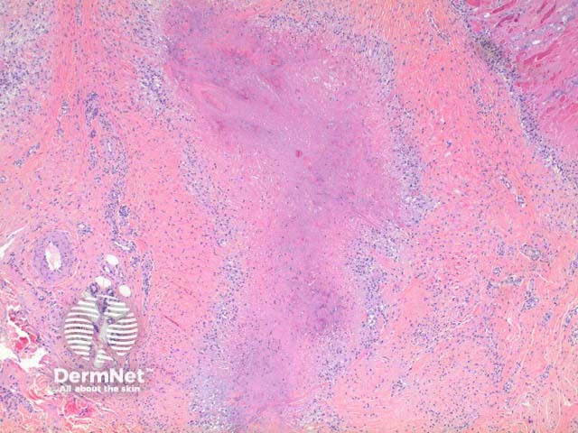
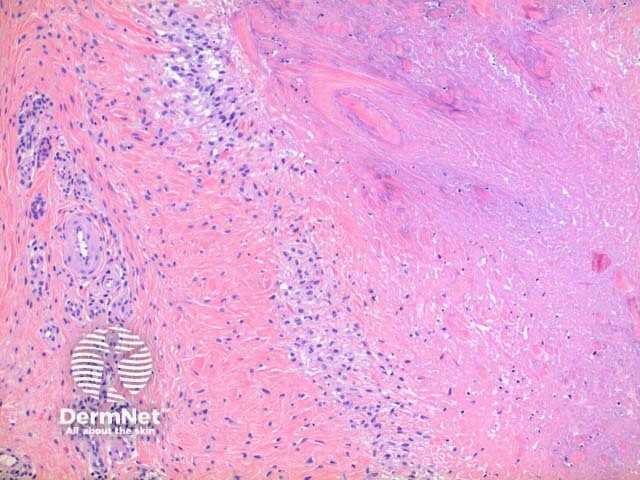
In a rheumatoid nodule, scanning power view reveals a granulomatous tissue reaction pattern (Figure 1). Well formed necrobiotic granulomas form within the dermis frequently with deep extension (Figure 2). There is a surrounding palisade of histiocytes and a mixed infiltrate of lymphocytes, plasma cells, multinucleated giant cells and occasional eosinophils (Figure 3).

Figure 1

Figure 2

Figure 3
Additional staining for fungal infections and mycobacteria should be considered in all significant granulomatous infiltrates.
Deep granuloma annulare: The necrobiotic centres in rheumatoid nodules tend to demonstrate a bright eosinophilic consistency, whereas in granuloma annulare mucin deposition may be seen imparting a basophilic tinge.