Main menu
Common skin conditions
NEWS
Join DermNet PRO
Read more
Quick links
Genetic Diagnosis and testing Connective tissue diseases
Author: Assoc Prof Patrick Emanuel, Dermatopathologist, Auckland, New Zealand. January 2015.
Pseudoxanthoma elasticum (PXE) is a rare connective tissue disorder involving fragmentation and mineralisation of elastic fibres, predominantly in the skin, eyes, and cardiovascular system. PXE has been associated with more than 110 different mutations in the ABCC6 gene.
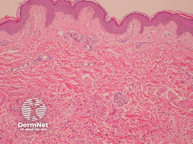
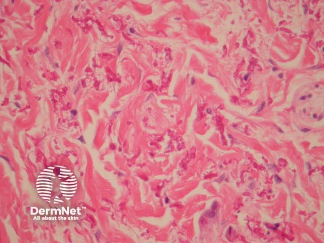
In PXE, elastic fibres of the reticular dermis are short and fragmented. The abnormal fibres are basophilic and evident on H-E sections. Rarely, the abnormal fibres elicit a granulomatous reaction (figures 1, 2, 3).

Figure 1

Figure 2

Figure 3

Figure 4
Von Kossa stain shows fragmented elastic fibres coated in calcium (figure 4). Calcium stain may highlight calcium deposition.
Normal skin – Without careful examination of the reticular dermis on high power the elastic fibre abnormalities may be overlooked.
PXE-like elastic fibres may be seen rarely in a diverse range of other dermal pathologies. Correlation with clinical features and with other histopathologic features is helpful.
Papillary dermal elastolysis (fibroelastotic papules) – This entity resembles PXE clinically but histologically shows an absence/reduction of elastic fibres in the papillary dermis.