Main menu
Common skin conditions
NEWS
Join DermNet PRO
Read more
Quick links
Lesions (benign) Diagnosis and testing
Author: Assoc Prof Patrick Emanuel, Dermatopathologist, Auckland, New Zealand, 2013.
Otherwise known as proliferating trichilemmal tumour, proliferating trichilemmal cysts range in appearance from those that resemble trichilemmal cysts with only focal architectural complexity to those with overt epithelial proliferation. Malignant degeneration is well documented in rare cases.
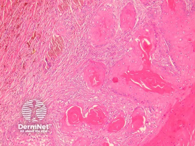
In proliferating trichilemmal cyst, sections show a well defined lobular proliferation of squamous cystic islands centered in the dermis (figure 1). The lesion often encroaches on the overlying epidermis which may be ulcerated.
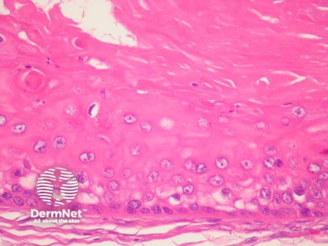
The individual cystic islands resemble regular trichilemmal cysts and often calcify (figure 2). Rupture is common, and this leads to surrounding fibroplasia and foreign body giant cell reaction (figure 3). The lining epithelium is a stratified squamous epithelium exhibiting trichilemmal keratinization (figure 4).
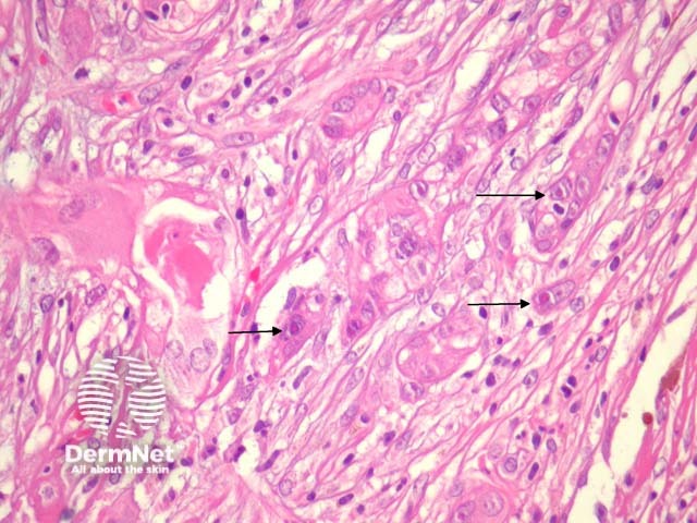
Rarely, malignant transformation may occur with severe keratinocytic nuclear atypia and an infiltrative growth pattern (figure 5, arrow points out frank atypia). When malignant transformation occurs, these tumours are called either squamous cell carcinoma or malignant proliferating trichilemmal cyst/tumour.

Figure 1

Figure 2

Figure 3

Figure 4

Figure 5
None are needed.
Squamous cell carcinoma – Ackerman believed all these lesions are a form of squamous cell carcinoma, but this opinion is not widely held. Malignant degeneration (figure 5) and subsequent metastasis has been well documented. Difficulty can arise when these lesions rupture and there is a pseudo-infiltrative growth pattern.