Main menu
Common skin conditions
NEWS
Join DermNet PRO
Read more
Quick links
Authors: Dr Germana Consuegra Romero, Dermatologist, Hospital Universitari General de Catalunya, Barcelona, Spain; Prof Pablo Fernández-Peñas, Dermatologist, Westmead Hospital, Sydney, Australia; Dr Jillian Wells, Dermatologist, Westmead Hospital, Sydney, Australia. Copy edited by Gus Mitchell. May 2021
Introduction Demographics Causes Clinical features Complications Diagnosis Differential diagnoses Treatment Outcome
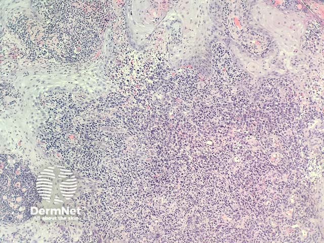
Primary cutaneous anaplastic large-cell lymphoma (pcALCL) is a rare type of indolent cutaneous T-cell lymphoma (CTCL) characterised by CD30+ atypical lymphocytes in the skin. It is classified as a primary cutaneous CD30+ lymphoproliferative disorder.



Primary cutaneous anaplastic large-cell lymphoma can affect both sexes, all ages, and races. However, pcALCL affects males more often than females (3:1) and most cases are 50 to 70 years of age. Paediatric and congenital cases have been reported.
The aetiopathogenesis of primary cutaneous CD30+ lymphoproliferative disorders remains elusive. CD30 signalling affects growth and survival of lymphoid cells. Some studies suggest a restriction of the normal T-cell repertoire in the peripheral blood. Other hypotheses implicate reactive phenomena inducing CD30+ overexpression.



The diagnosis of primary cutaneous anaplastic large-cell lymphoma requires careful correlation of history, examination, and histopathology. Staging of pcALCL uses the TNM (Tumour, Nodes, Metastases) system.
Recommended investigations include:
Primary cutaneous anaplastic large-cell lymphoma is usually treated by surgical excision or radiotherapy of solitary or few nodules.
Treatment options for extensive cutaneous disease or regional lymph node involvement include:
Multi-agent chemotherapy, such as CHOP, is not considered first-line therapy due to high rates of rapid relapse and significant toxicity compared to other systemic options.
Primary cutaneous anaplastic large-cell lymphoma typically has an indolent course despite the malignant appearance on histology. The five-year survival has been estimated to be 95%, but this may be as low as 50% for generalised cutaneous or extracutaneous disease.
Partial or total regression of pcALCL occurs in 20–40% after a median period of 2 months (range 1–6 months).
Good prognostic indicators include:
Poor prognostic indicators:
Ongoing clinical surveillance is recommended to monitor for recurrence or extracutaneous spread. Up to 50% of cases recur. Extracutaneous spread has been reported in 25% of recurrences, with half of those involving only local lymph nodes.