Main menu
Common skin conditions
NEWS
Join DermNet PRO
Read more
Quick links
Author: Dr Ben Tallon, Dermatologist/Dermatopathologist, Tauranga, New Zealand, 2011.
This benign lesion is grouped within the cutaneous cysts
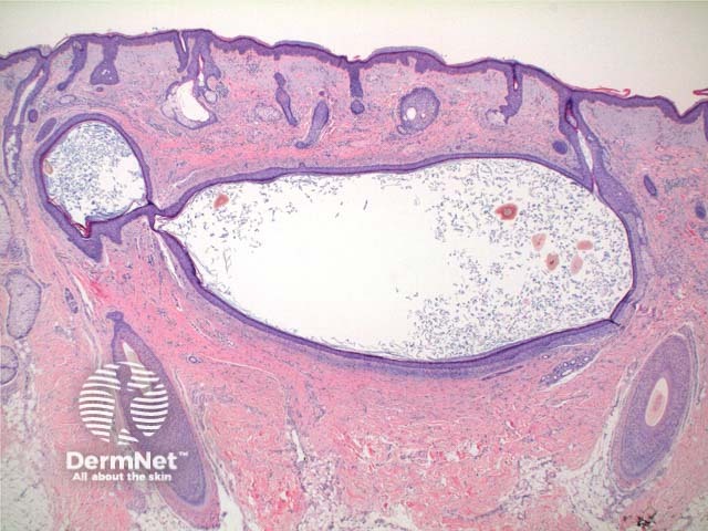
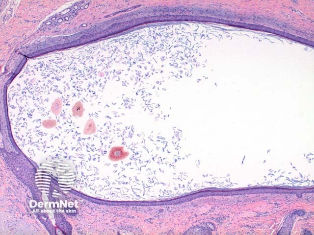
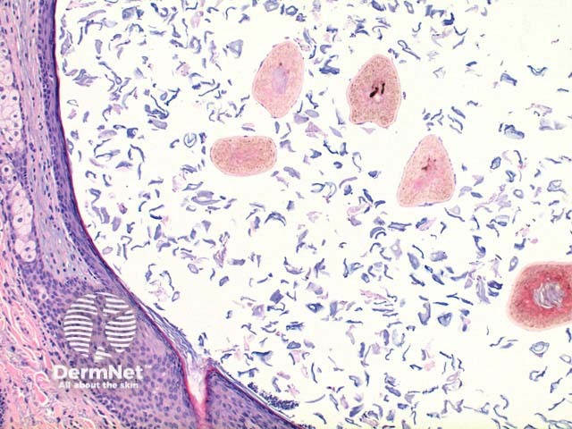
Scanning power view demonstrates a unilocular cystic structure within the dermis (Figure 1). Higher power reveals a thin epithelial lining with a retained granular layer (Figures 2 and 3). Within the cyst cavity are loose keratin fragments and numerous pigmented terminal hair shafts (Figures 2 and 3).

Figure 1

Figure 2

Figure 3
Vellous hair cyst: In this lesion the cyst cavity contains small vellous hairs lacking pigmentation.
Epidermal inclusion cyst: Hair fragments are absent.