Main menu
Common skin conditions
NEWS
Join DermNet PRO
Read more
Quick links
Author: Adjunct A/Prof Patrick Emanuel, Dermatopathologist, Clínica Ricardo Palma, Lima, Peru. DermNet Editor in Chief: Adjunct A/Prof Amanda Oakley. October 2018.
Introduction Histology Special studies Differential diagnoses
Neurofollicular hamartoma presents as a smooth flesh-coloured papule on the face.
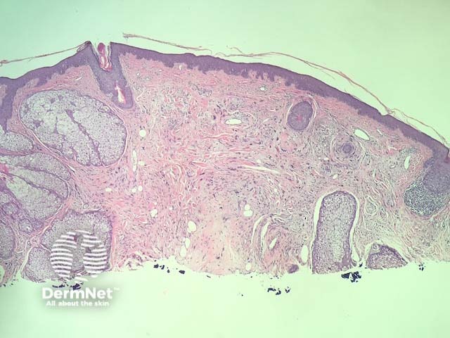
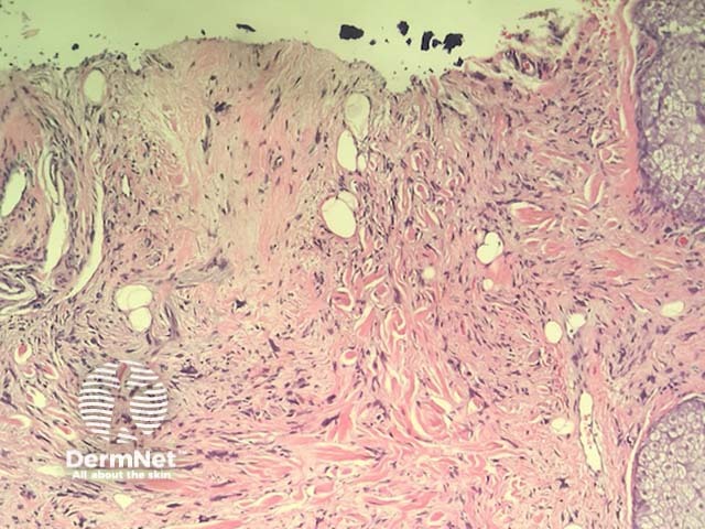
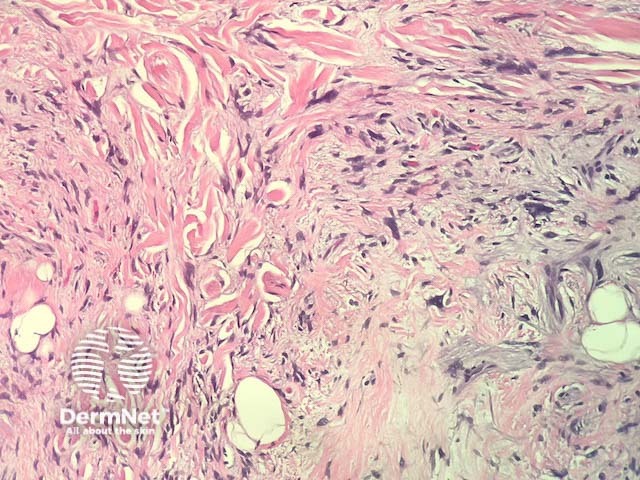
In neurofollicular hamartoma, the histopathology shows a nodular dermal spindle cell proliferation surrounded by prominent sebaceous glands. The spindle cells are plump or wavy. The sebaceous proliferation surrounds the mesenchymal component (figures 1–3).

Figure 1

Figure 2

Figure 3
The spindle cells are positive for S100, CD34 and Factor XIII.
Other diagnoses to be considered include:
Requena L, Yus ES, Simón P, del Rio E. Induction of cutaneous hyperplasias by
altered stroma. Am J Dermatopathol. 1996 Jun;18(3):248–68. PubMed PMID: 8806959.