Main menu
Common skin conditions
NEWS
Join DermNet PRO
Read more
Quick links
Follicular disorder Diagnosis and testing
Author: Assoc Prof Patrick Emanuel, Dermatopathologist, Auckland, New Zealand, 2013.
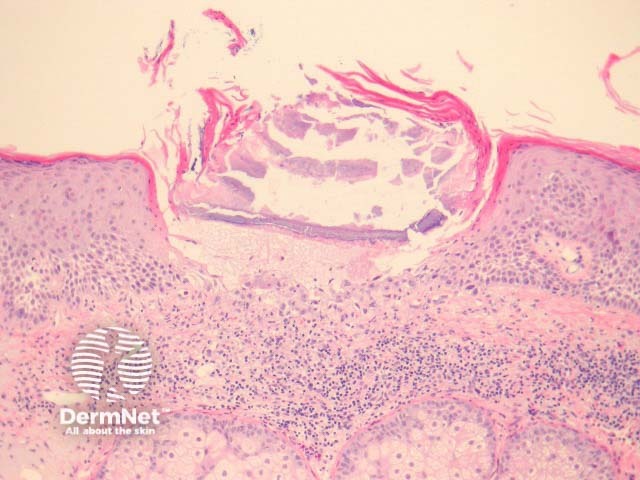
Necrotising infundibular crystalline folliculitis is characterised clinically by sharply demarcated waxy papules. It is caused by follicular accumulation of a material which is thought to be derived from Malassezia yeasts, bacteria, and/or sebaceous lipids.
In necrotising infundibular crystalline folliculitis, sections show filamentous deposits, enclosed by parakeratotic columns within partly necrotic follicle ostium (figure 1). There is incidental actinic keratosis in the case illustrated herein. Higher power examination shows crystalline urate-like structures within the filamentous material (figures 2, 3). The material is birefringent with polarised light.

Figure 1

Figure 2

Figure 3
None are generally needed. PAS may demonstrate pityrosporum species.
Gout – The distinctive filamentous material resembles gout.