Main menu
Common skin conditions
NEWS
Join DermNet PRO
Read more
Quick links
Infections Diagnosis and testing
Author: Assoc Prof Patrick Emanuel, Dermatopathologist, Auckland, New Zealand, 2013.
Necrotising fasciitis is a life-threatening, rapidly progressive form of necrotising cellulitis. Group A beta-haemolytic streptococci are the most common causative organisms. Various other bacteria have been implicated.
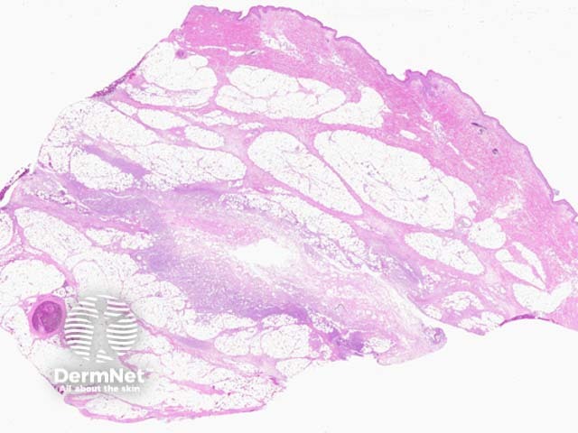
A deep biopsy is generally required (figure 1) for the diagnosis and shows an extensive acute inflammatory reaction involving the subcutaneous fat (figure 2). There may also be superficial involvement and ulceration and/or deep penetration into skeletal muscle and deeper tissues.
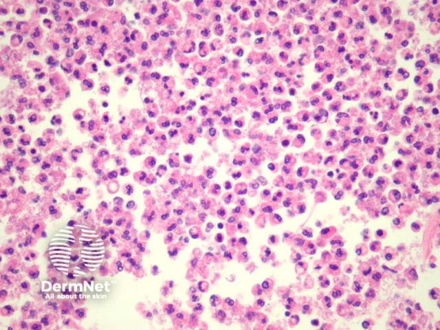
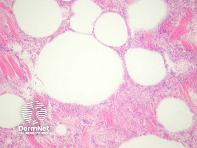
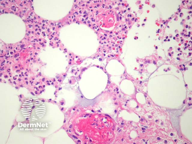
Higher power examination demonstrates impressive suppuration (figure 3) and extensive tissue necrosis (figure 4). An overwhelming bacterial colonisation is appreciated even on haematoxylin-eosin sections (figure 4). There is often associated intravascular thrombosis (figure 5) and invasion of vessel walls by micro-organisms.

Figure 1

Figure 2

Figure 3

Figure 4

Figure 5

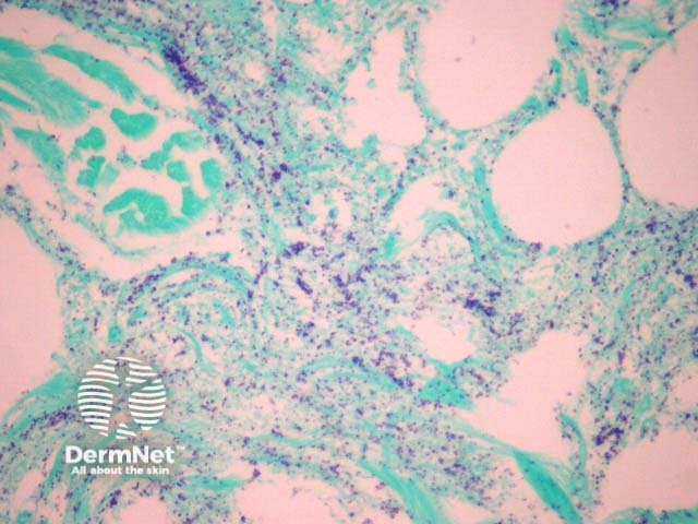
Figure 6
Gram stain confirms the overwhelming colonisation by the micro-organism (figure 6). The case illustrated shows numerous gram-positive cocci but the morphology and staining characteristics will be varied depending on the organism involved. Tissue culture confirms the causative organism.
Intraoperative consultation for frozen section is sometimes employed for this disease. In addition to routine frozen section assessment, touch preparations can be useful for identifying the presence of an organism. Correct diagnosis is critical for appropriate surgical management of this aggressive disease.
Panniculitis – Alpha-1-antitrypsin deficiency panniculitis and pancreatic panniculitis can show impressive suppuration and necrosis respectively. Identification of the organism and clinical correlation aids in the distinction.
Bacterial overgrowth – Overwhelming bacterial overgrowth is common in autopsy tissue and unfixed tissue.
Neutrophilic dermatoses – Tissue necrosis, thrombosis and overwhelming bacterial overgrowth are typically not seen in these conditions.