Main menu
Common skin conditions
NEWS
Join DermNet PRO
Read more
Quick links
Lesions (benign) Diagnosis and testing
Authors: Assoc Prof Patrick Emanuel, Dermatopathologist, Auckland, New Zealand, 2013.
Naevus lipomatosus superficialis is a rare lesion. It is regarded as a connective tissue naevus by most authorities. It can occur as either a single dermal papule or as a cluster of multiple papules and nodules.
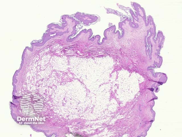
Sections of naevus lipomatosus superficialis show mature adipose tissue within the superficial and mid dermis (figure 1). There are frequently foci of fibrosis intermixed with the fat (figure 2).

Figure 1

Figure 2
None are needed.
Fibrolipoma – Solitary naevus lipomatosus superficialis is histologically identical to fibrolipoma.
Normal fat – Unremarkable adipose tissue is not seen in the superficial dermis of normal skin.