Main menu
Common skin conditions
NEWS
Join DermNet PRO
Read more
Quick links
Lesions (cancerous) Diagnosis and testing
Author: A/Prof Patrick Emanuel, Dermatopathologist, Auckland, New Zealand; Harriet Cheng BHB, MBChB, Dermatology Department, Waikato Hospital, Hamilton, New Zealand, 2013.
This may be confusing for the clinician, but in ambiguous cases open communication with your pathologist by email or telephone is invaluable. As always, supplying the pathologist with adequate clinical details including a detailed description of the lesion is essential for accurate diagnosis. Ideally, send clinical images with your specimens, but diagrams showing areas of concern are also useful. Many pathologists now welcome dermatoscopic images.
The inexperienced pathologist should:
Try to glean as much clinical information as possible. Clinical and dermatoscopic images can be very helpful.
Ensure the laboratory staff are skilled in embedding and cutting skin specimens.
Examine the entire melanocytic lesion histopathologically.
Examine at least 3 levels histopathologically.
If the diagnosis is clear, finalise the case. Melanomas should be reported synoptically.
If the diagnosis is not clear, perform immunohistochemistry.
If still uncertain consult a colleague/s.
If colleague also uncertain, consider molecular tests.
If molecular tests not available/unhelpful, be honest and convey the problem to the clinician, i.e. diagnose it as a Diagnostically Ambiguous Melanocytic Neoplasm (DAMN). Consider recommending surgical excision parameters appropriate for melanoma without sentinel lymph node biopsy.
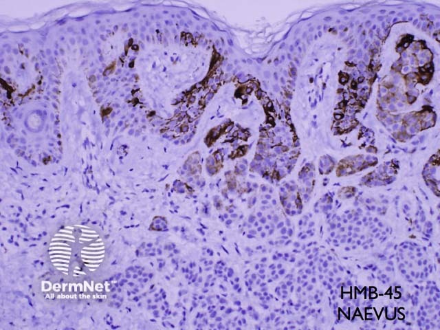
Special stains can be used to confirm melanocytic origin in lesions with spindle or epithelioid morphology.
Immunohistochemical stains for melanocytes:

Figure 1

Figure 2

Figure 3

Figure 4

Figure 5

Figure 6