Main menu
Common skin conditions
NEWS
Join DermNet PRO
Read more
Quick links
Reactions Diagnosis and testing
Author: Assoc Prof Patrick Emanuel, Dermatopathologist, Auckland, New Zealand, 2013.
Hydroa vacciniforme is a rare photodermatosis that typically presents in childhood as vesicles which heal with scarring. Though the pathogenesis is poorly understood, Epstein-Barr virus (EBV) can be detected in the dermal infiltrate. It is currently unclear whether hydroa vacciniforme-like T cell lymphoma is a discrete entity or lies at the severe end of the spectrum of hydroa vacciniforme.
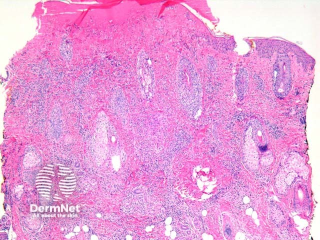
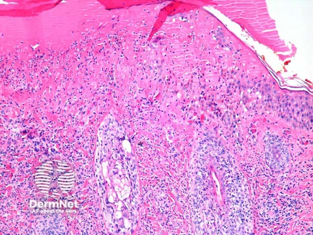
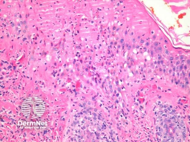
In hydroa vacciniforme, sections show epidermal spongiosis, vesiculation and necrosis overlying a dense dermal infiltrate (figure 1). The necrosis may be confluent (figures 2, 3) and infiltrated by a mixture of acute and chronic inflammatory cells. In older lesions there may be scarring.
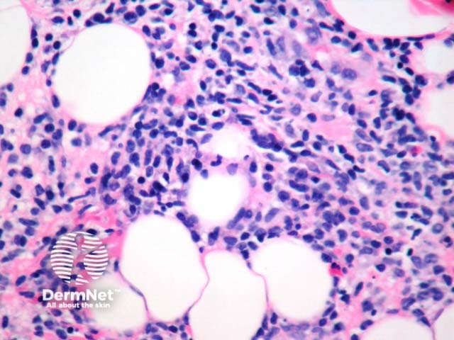
Figure 4 shows the denser infiltrate seen in hydroa vacciniforme-like T cell lymphoma, which may have identical epidermal/superficial changes.

Figure 1

Figure 2

Figure 3

Figure 4
EBV may be detected in the dermal infiltrate (with in-situ hybridisation for EBER).
Hydroa vacciniforme-like T cell lymphoma – It is currently unclear whether this is a discrete entity or lies within the spectrum of hydroa vacciniforme. With this lymphoma, the lesions are usually larger, fail to resolve and may also involve non-sun-exposed sites. The infiltrate in the dermis may be denser than seen in hydroa vacciniforme and the subcutaneous fat may be infiltrated (figure 4). Immunohistochemical studies reveal that the infiltrate is composed of CD3+. CD8+, TIA+ T cells or CD56+ NK cells. Gene rearrangement studies may be positive. In-situ hybridisation with EBV may be positive in the infiltrate.