Main menu
Common skin conditions
NEWS
Join DermNet PRO
Read more
Quick links
Author: Dr Fen-Lan Cherry Chang, House Officer, Middlemore Hospital, Auckland, New Zealand. DermNet Editor in Chief: Adjunct A/Prof. Amanda Oakley, Dermatologist, Hamilton, New Zealand. Copy edited by Gus Mitchell. November 2019.
Introduction Physiology Anagen hair Catagen hair Telogen hair Clinical features Differential diagnoses
A shed hair is one we see on our fingers, comb or brush, pillow or clothing. Hair shedding is a normal part of the hair cycle and is an ongoing process. Understanding the hair growth cycle can help us understand normal and pathological hair shedding.
There are a number of stressors that can affect the hair growth cycle and cause excessive hair shedding.

Hair shedding guide

Hair shedding
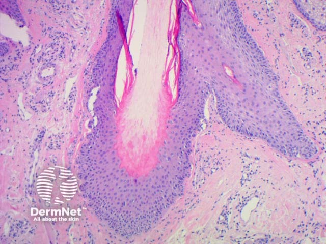
The normal human hair cycle consists of the growth phase (anagen), transitional phase (catagen), and resting phase (telogen) which repeat continuously in this order. A healthy scalp has around 100,000 hair follicles, of which 85–90% are in anagen, 1–3% in catagen, and 5–10% in telogen.
Hair is made up of the hair follicle and hair fibre. The hair follicle is located within the dermis where stem cells divide to produce the hair fibre. Each hair fibre consists of three layers — the cuticle, cortex and medulla, from the outside in. No metabolic activity takes place within the hair fibre.
Hair growth is not synchronised throughout the scalp, so not all hairs are in the same phase of the growth cycle at any given point in time. This helps maintain a constant density of hair.
Normally 50–100 hairs are shed each day depending on combing and washing routines. A mature hair follicle goes through 25–30 cycles throughout its lifetime.
Anagen is the period of active hair growth during which vigorous mitosis takes place in the hair follicle.
Anagen hairs are fully pigmented and attached to the dermal papilla. They have long, indented roots covered with inner and outer root sheaths.
The duration of anagen varies depending on the body site, age, nutrition, and hormones.

During catagen, mitotic activity reduces and hair growth comes to a stop. The hair follicle and dermal papilla begin to shrink. The hair detaches from its blood supply and dermal papilla, and migrates upward towards the epidermis. This phase lasts 2–3 weeks in humans regardless of site.
Hair remains in the telogen resting phase for about 3 months before the follicle enters anagen again. Telogen hairs (also known as club hairs) have short, club-shaped roots that anchor them in the follicle. They lack a root sheath, unlike anagen hairs. The proximal part of the hair shaft is depigmented. Telogen hairs rest in the skin until they are forced out by new anagen hair growing underneath.



Excessive hair shedding causes diffuse thinning of the hair (see Diffuse alopecia) which makes the scalp more visible. Baldness can occur if the shedding is very severe.
Hair loss can also be localised, and can be either scarring (cicatricial) and non-scarring (non-cicatricial).
The most common reasons for hair shedding are telogen effluvium, anagen effluvium, and alopecia areata. There are many other causes of hair loss and hair thinning (see Diffuse alopecia, Hair loss and Hair and scalp).
Telogen effluvium is characterised by severe shedding following a shock to the system. Up to 50% of the hair suddenly enters the resting phase, stops growing and falls out. Triggers include a poor diet, stress (eg, childbirth, surgery, severe illness), and mineral deficiency. Pulling gently on the crown or sides will cause several hairs to come out easily. Hair loss is typically seen 3 months following an acute insult.
An acute injury to the hair follicles can cause hair shedding during the growth phase, resulting in sudden diffuse shedding of up to 90%, structurally abnormal, scalp hairs (anagen effluvium). The hair shafts fracture at the level of the scalp skin or just below it. Chemotherapy is the most common cause of anagen effluvium.
Alopecia areata is an autoimmune condition that causes either round patches of hair loss or diffuse alopecia. Alopecia areata can lead to complete loss of scalp hair (alopecia totalis) and, rarely, complete loss of body hair (alopecia universalis).
Various diseases and conditions of the hair and scalp may present with hair loss including: