Main menu
Common skin conditions
NEWS
Join DermNet PRO
Read more
Quick links
Diagnosis and testing Terminology
Author: Naomi Ashman, Dermoscopist, Torbay Skin, Auckland, New Zealand. DermNet Editor in Chief Adjunct A/Prof Amanda Oakley, Dermatologist, Hamilton, New Zealand. August 2019.
What are grey circles? Appearnace on a dermatoscope Conditions that show grey circles Histological explanation
In dermoscopy, a grey circle consists of a continuous curved grey line, equidistant from a fixed centre point.
Grey circles are seen through the dermatoscope as a thin circular line of grey pigment.

Grey concentric circles seen on dermoscopy of lentigo maligna

Grey circles in lentigo maligna

Grey circles in lentigo maligna
Dermoscopic grey circles are seen in the following lesions:
Grey dots around the hair follicle openings forming grey circles tend to be coarse in LPLK, whereas in lentigo maligna they are much finer.
A pattern of thin grey circles is the most specific clue to early facial melanoma, but only when pigmentation is confluent, and not grey dots arranged as circles [1]. Grey circles had a sensitivity of 54.2% and a specificity of 83.3% for melanoma on the face [2].

Grey circles seen in dermoscopy of a facial solar lentigo

Grey circles in pigmented actinic keratosis

Grey circles in pigmented intraepidermal carcinoma

Annular granular pattern seen in dermoscopy of lichen planus-like keratosis

Grey circles in lentigo maligna

Grey circles in a solar lentigo
A circle within a circle consists of an asymmetrical pigmented follicular opening with a darker dot located within the ostial opening [3]. Circles within circles are a specific clue for facial melanoma in situ but are rarely present; they have poor sensitivity and are found in only 4.2% of flat facial melanomas [2]. They can also be found in pigmented actinic keratosis, but rarely [3]. Circles within circles are also known as concentric circles and the 'isobar' sign.

Grey concentric circles in lentigo maligna
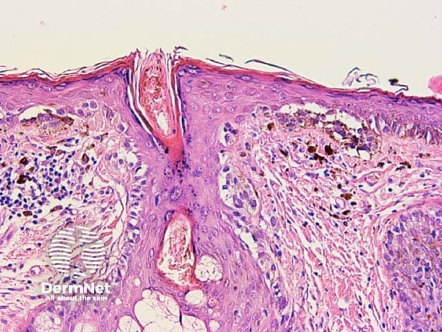
Circles on facial skin reflect prominent hair follicles with associated pigmentation in an otherwise featureless epidermis. Pigmentation may be within the epithelium giving grey circles in melanophages around hair follicles resulting in circles comprising grey dots. Th may also involve the intervening epidermis giving grey circles in a structureless brown background. It should be noted that nonpigmented follicular openings do not constitute a pattern of circles [4].

Grey circles correspond to pigmented melanocytes within follicular infundibula

Prominent perifollicular melanophages are seen as grey dotted circles

Involvement of follicular infundibula displayed as circles on dermatoscopy

Involvement of follicular infundibula displays as circles on dermoscopy