Main menu
Common skin conditions
NEWS
Join DermNet PRO
Read more
Quick links
Lesions (benign) Diagnosis and testing
Author: Adjunct A/Prof Patrick Emanuel, Dermatopathologist, Clínica Ricardo Palma, Lima, Peru. DermNet Editor in Chief: Adjunct A/Prof Amanda Oakley. September 2018.
Introduction Histology Special studies Differential diagnoses
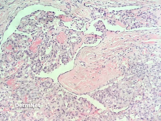
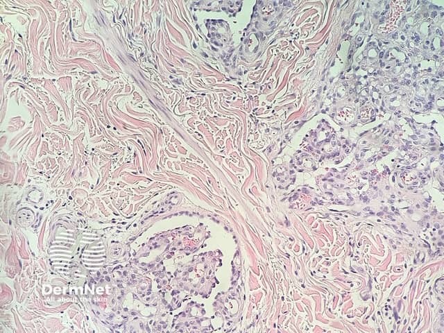
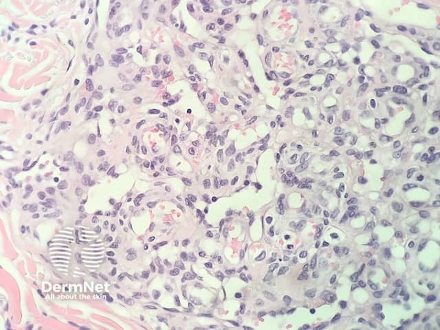
Glomeruloid haemangioma is a rare benign cutaneous vascular proliferation that typically arises in patients with a history of POEMS syndrome.
In glomeruloid haemangioma, the histopathology shows numerous dermal ectatic vascular spaces lined by flat endothelial cells. Inside these dilated vascular spaces are a conglomeration of capillaries lined by plump, swollen endothelial cells, filled with red blood cells, resembling renal glomeruli (figures 1–4).

Figure 1

Figure 2

Figure 3

Figure 4
None are generally needed.
Other conditions that should be considered in the differential diagnosis for glomeruloid haemangioma include: