Main menu
Common skin conditions
NEWS
Join DermNet PRO
Read more
Quick links
Author: Dr Ben Tallon, Dermatologist/Dermatopathologist, Tauranga, New Zealand, December 2016.
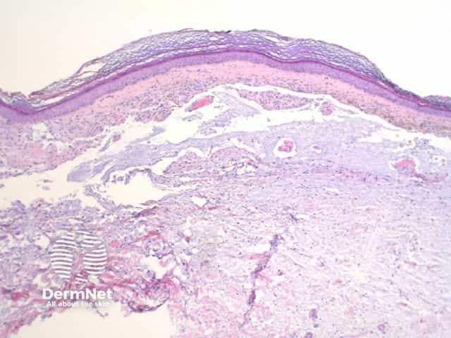
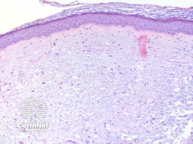
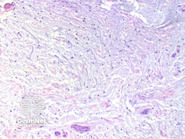
Lesions of focal mucinosis present with a dome-shaped elevation of the skin and a circumscribed dermal pool of mucin (figures 1, 2). Involvement of the subcutaneous tissue is uncommon. A delicate infiltrate of fibroblasts and an increase in capillary vessels can be seen within the lesion (figures 3, 4).
These are usually present in isolation, distinguishing this from papular mucinosis.

Figure 1

Figure 2

Figure 3

Figure 4

Figure 5
The mucin stains with colloidal iron (blue-green), and Alcian blue at pH 2.5 (blue) (figure 5).
Papular mucinosis of lichen myxoedematosus requires clinical correlation as histolocically it may appear identical. There may be increased fibroblastic proliferation and fibrosis.
Generalised and pretibial myxoedema: These conditions are associated with thyroid disease. There is mucin deposition in the dermis without fibroblast proliferation. Epidermal changes may include hyperkeratosis and follicular plugging.