Main menu
Common skin conditions
NEWS
Join DermNet PRO
Read more
Quick links
Author: A/Prof Patrick Emanuel, Dermatopathologist, Auckland, New Zealand, 2014.
Introduction Histology Special studies Differential diagnoses
Also known as florid nipple papillomatosis and papillary adenoma, these lesions present as nipple erythema or nodules which may mimic mammary Paget disease.
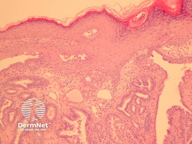
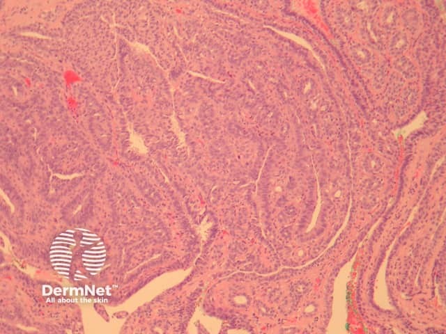
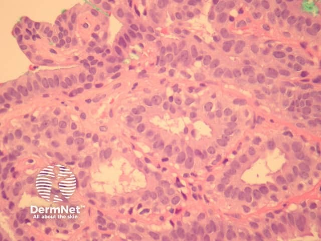
In erosive papillomatosis of the nipple, sections show a papillary epithelial proliferation which connects with the overlying epidermis (figure 1). The lesion consists of fibrovascular cores lined by bland cells (figure 2). The cells are usually at least 2 layers thick and consist of a myoepithelial layer and an epithelial layer which may exhibit apocrine differentiation (figure 3)

Figure 1

Figure 2

Figure 3
None are generally needed.
Carcinoma – Breast carcinoma invading the nipple will show more nuclear atypia, usually lack a papillary growth pattern and lacks the dual myoepithelial/epithelial lining.