Main menu
Common skin conditions
NEWS
Join DermNet PRO
Read more
Quick links
Lesions (benign) Diagnosis and testing
Author: Adjunct A/Prof Patrick Emanuel, Dermatopathologist, Clinica Ricardo Palma, Lima, Peru. DermNet Editor-in-chief: Adjunct A/Prof Amanda Oakley. July 2018.
Introduction Histology Special studies Differential diagnoses
Epithelioid hemangioma is a benign vascular lesion of the skin or deeper structures (bone). It has many similarities to angiolymphoid hyperplasia with eosinophilia and some authors believe they are the same entity. Although eosinophils are often rich in the lesion, peripheral eosinophilia is not a feature.
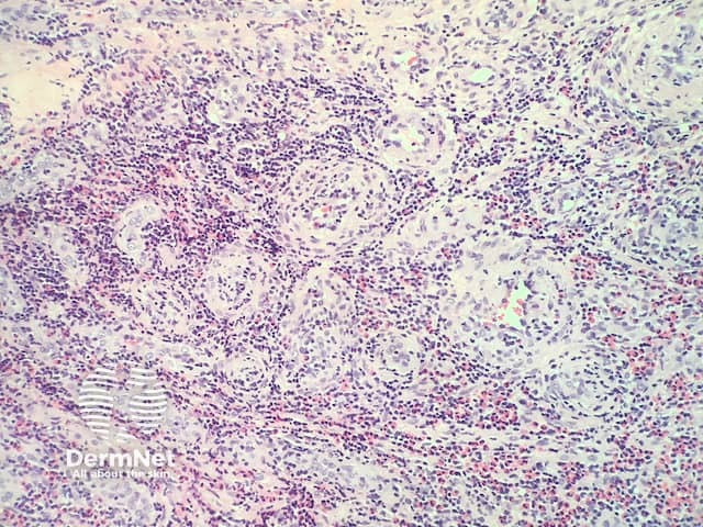
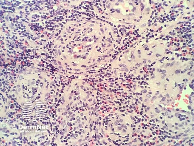
In epithelioid haemangioma, histopathologically there is a proliferation of blood vessels with epithelioid endothelial cells (figures 1,2). The endothelial cells are plump and have abundant eosinophilic cytoplasm sometimes resembling histiocytes (best seen in figure 2). As the endothelial cells are so plump, sometimes it is difficult to appreciate vascular spaces and the aggregates may resemble granulomas. Accompanying the vascular proliferation are collections of lymphocytes an numerous eosinophils (figures 1,2).

Figure 1

Figure 2
None are generally needed. Immunohistochemical markers for CD31, CD34 can be helpful to highlight the endothelial cells and the overall architecture of the lesion
Angiolymphoid hyperplasia with eosinophilia (ALHE) — Some authorities believe these are the same entity. However, in contrast to ALHE, epithelioid haemangioma can involve any body site and involve the deep soft tissue and bone. Epithelioid haemangioma is usually an isolated lesion where ALHE often occurs in multiplicity.
Angiosarcoma: Angiosarcoma typically shows greater nuclear atypia and an invasive growth pattern
Kimura disease: usually Asians with elevated serum eosinophils and IgE, usually regional lymphadenopathy