Main menu
Common skin conditions
NEWS
Join DermNet PRO
Read more
Quick links
Authors: Dr Akshay Flora, Resident Medical Officer, Royal Prince Alfred Hospital, University of Sydney, Central Clinical School, Sydney, NSW, Australia; Dr Roger (Hyun Joon) Kim, Anatomical Pathology Registrar, Douglas Hanly Moir Pathology, Sydney, NSW, Australia. DermNet Editor in Chief: Adjunct A/Prof Amanda Oakley, Dermatologist, Hamilton, New Zealand. Copy edited by Gus Mitchell. June 2020.
Introduction Demographics Causes Clinical features Diagnosis Differential diagnoses Treatment and outcome
Submit your photo for epithelial sheath neuroma
Epithelial sheath neuroma is a rare benign cutaneous tumour composed of dermal nerve fibres surrounded by squamous epithelium [1,2].
Epithelial sheath neuroma has so far only been reported in 13 people; all have been older than 40 years of age. It has been reported most commonly in females [1].
The pathogenesis of epithelial sheath neuroma has not been determined, however several possible mechanisms have been suggested.
Epithelial sheath neuroma presents as a persistent erythematous papule or nodule located on the upper or mid-back. Some patients report tenderness, pruritus, or paraesthesia when the lesion is palpated [1].
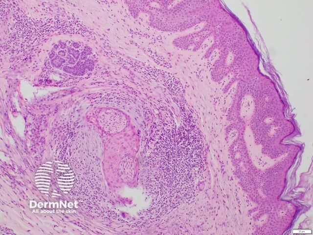
Epithelial sheath neuroma is diagnosed by histopathological examination of a skin biopsy. It is characterised by multiple enlarged peripheral nerve fibres that are sheathed by mature squamous epithelium. Epithelial sheath neuroma is sometimes surrounded by myxoid (mucus-like) stroma and a lymphocytic infiltrate.

Histology of epithelial sheath neuroma
The clinical differential diagnosis for epithelial sheath neuroma may include:
The histological differential diagnosis for epithelial sheath neuroma includes reactive neuroepithelial aggregates, perineural invasion of a well-differentiated cutaneous carcinoma, or re-excision perineural invasion [7,8].
Epithelial sheath neuroma is benign.
The treatment of choice is excision, with no reports of recurrence after excision to date [1].