Main menu
Common skin conditions
NEWS
Join DermNet PRO
Read more
Quick links
Follicular disorder Diagnosis and testing
Authors: Dr Achala Liyanage, Dermatology Fellow, Waikato Hospital, Hamilton, New Zealand; Assoc Prof Patrick Emanuel, Dermatopathologist, Auckland, New Zealand; Chief Editor: Dr Amanda Oakley, Dermatologist, Hamilton, New Zealand, January 2015.
Introduction
Histology
Special studies
Differential diagnoses
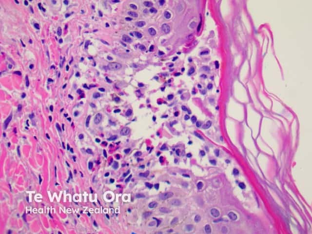
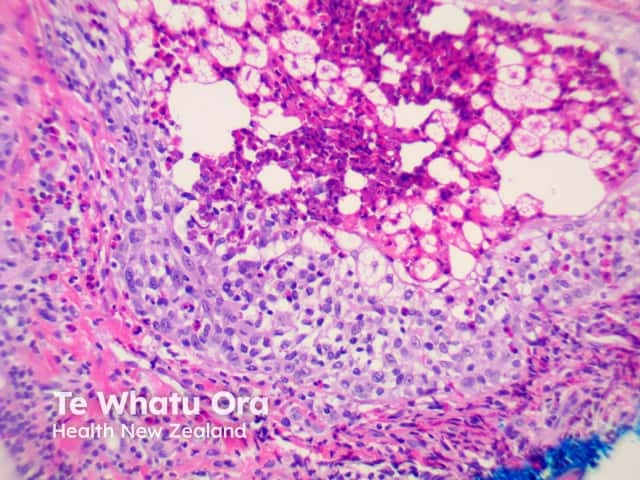
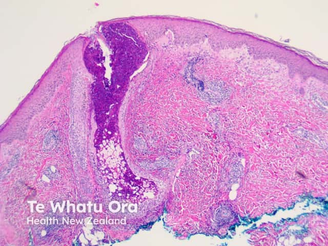
Eosinophilic pustular folliculitis is a heterogeneous group of disorders consists of clinical subsets including classic Ofuji disease, HIV-associated, paediatric, cancer, and medication-associated eosinophilic pustular folliculitis. All have a similar histological appearance.
In eosinophilic pustular folliculitis, there is eosinophilic spongiosis and pustulosis involving the infundibular region of the hair follicle. The follicular architecture is usually preserved. There can be minimal numbers of neutrophils or mononuclear cells within the infiltrate.

Figure 1

Figure 2

Figure 3

Figure 4

Figure 5
Images provided by Dr Duncan Lamont, Waikato Hospital
PAS or silver methenamine preparation should always be examined to exclude dermatophyte infections.
Dermatophyte infection