Main menu
Common skin conditions
NEWS
Join DermNet PRO
Read more
Quick links
Autoimmune/autoinflammatory Diagnosis and testing
Author: Adjunct A/Prof Patrick Emanuel, Dermatopathologist, Clínica Ricardo Palma, Lima, Peru. DermNet Editor in Chief: Adjunct A/Prof Amanda Oakley. October 2018.
Introduction
Histology
Special studies
Differential diagnoses
Eosinophilic granulomatosis with polyangiitis is also known as Churg–Strauss syndrome and allergic granulomatosis. It is an autoimmune disease which begins as with allergic symptoms (asthma/hay fever-like symptoms) and evolves to a vasculitis with associated tissue damage. Skin involvement occurs in about half of patients and presents as purpura, petechiae, cutaneous nodules, and papules.
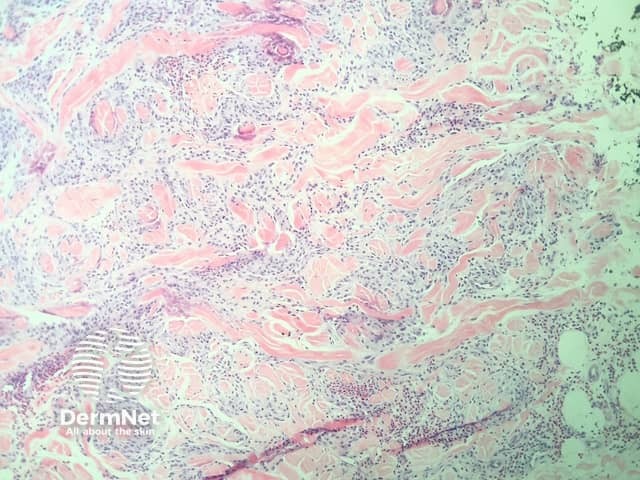
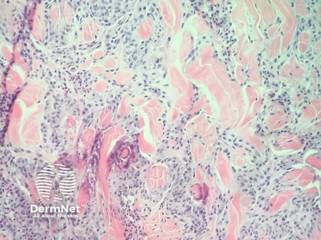
In eosinophilic granulomatosis with polyangiitis, the histopathology is varied depending on the stage of the disease and the type of lesion biopsied. Usually, the presentation in the skin occurs in the later stages of the disease and the prominent features include tissue eosinophilia (often with eosinophilic deposition 'flame figures' on collagen fibres) and extravascular granulomas (figures 1–3). Later lesions characteristically show vasculitis, which involves small to medium-sized vessels in the dermis and subcutis.

Figure 1

Figure 2

Figure 3
None are generally needed.
Other forms of vasculitis do not generally show extravascular granulomas and the prominent tissue eosinophilia seen in eosinophilic granulomatosis with polyangiitis. Correlation with clinical and serological findings is usually essential to rule out other forms of vasculitis.
Davis MD, Daoud MS, McEvoy MT, Su WP. Cutaneous manifestations of Churg-Strauss syndrome: a clinicopathologic correlation. J Am Acad Dermatol. 1997 Aug;37(2 Pt 1):199-203. PubMed PMID: 9270504.