Main menu
Common skin conditions
NEWS
Join DermNet PRO
Read more
Quick links
Lesions (benign) Diagnosis and testing
Author: Dr Ben Tallon, Dermatologist/Dermatopathologist, Tauranga, New Zealand, 2011.
This distinctive tumour is an adnexal tumour argued to arise from the apocrine or eccrine secretory coil or coiled duct.
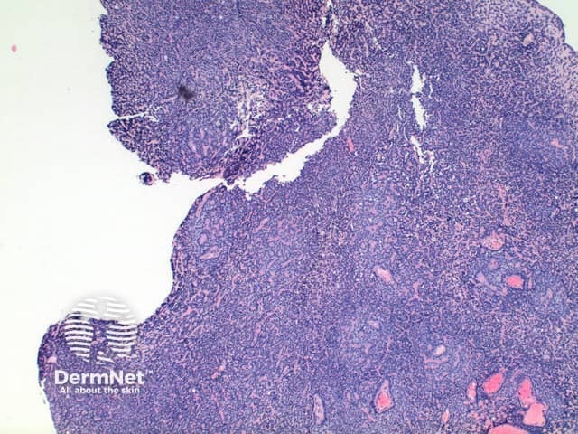
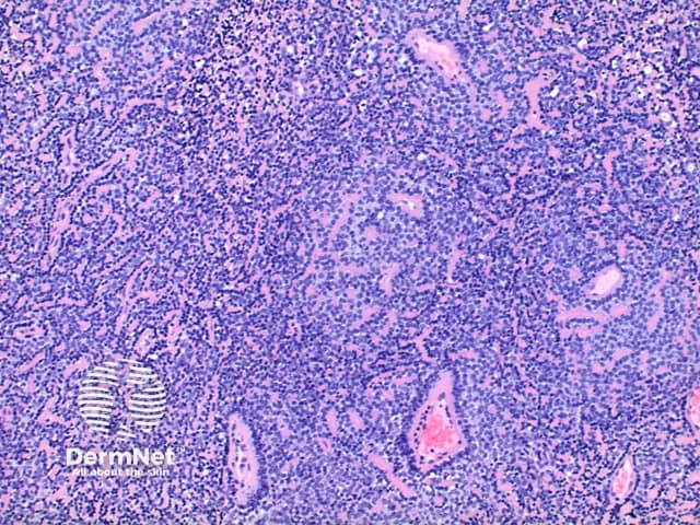
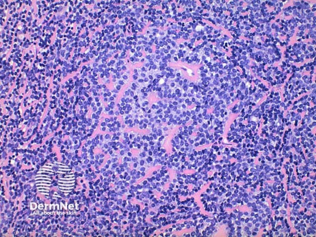
Low power view of eccrine spiradenoma shows a well-circumscribed tumour nodule arising within the dermis or superficial subcutis. The tumour is comprised of a diffuse dense basophilic cellular proliferation (Figures 1 and 2). In some cases a prominent vascular component can be seen (Figures 2 and 3). Eosinophilic hyaline deposits are seen in amongst the tumour cells as droplets and bands (Figure 4). A lymphocytic infiltrate is seen and when heavy can mimic lymphoid tissue.

Figure 1

Figure 2

Figure 3

Figure 4
Brooke-Spiegler syndrome — no differences are seen between sporadic eccrine spiradenoma or those occurring in the context of this syndrome. Tumours with overlap features with eccrine spiradenoma can be seen.
Cylindroma — in this tumour the low power view shows discrete polygonal tumour islands. There is frequently a more prominent population of S100 positive dendritic cells while in eccrine spiradenoma there is a lymphocytic infiltrate.
Spiradenocylindroma — some tumours features of both cylindroma and eccrine spiradenoma can be seen and are designated as overlap tumours.
Cutaneous lymphadenoma — in this tumour there is a lobular tumour of basaloid cells which may show peripheral palisading, and a dense mixed inflammatory cell infiltrate though predominantly lymphocytic.