Main menu
Common skin conditions
NEWS
Join DermNet PRO
Read more
Quick links
Lesions (benign) Diagnosis and testing
Author: A/Prof Patrick Emanuel, Dermatopathologist, Auckland, New Zealand, 2014.
Eccrine papillary adenomas are benign sweat gland tumours that have been described in wide range of anatomic sites and age groups.
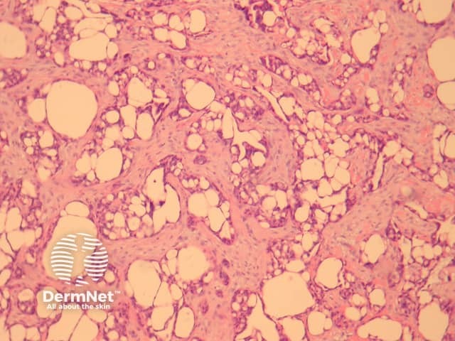
In eccrine papillary adenoma, sections show a well-circumscribed dermal tumour set in a sclerotic stroma (figure 1).
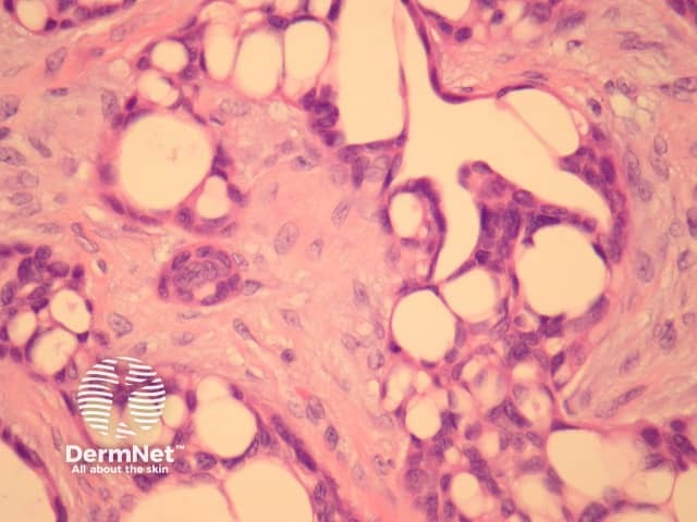
The tumour forms tubular and tubulo-papillary structures (figures 2, 3). The ducts are mainly lined by 2 or more cell layers of bland epithelial cells with limited mitotic activity. Some cells have an eosinophilic cytoplasm.

Figure 1

Figure 2

Figure 3
None are generally needed.
Metastatic tumour – These usually have an infiltrative growth pattern with more nuclear atypia. Clinical history and immunohistochemical studies can be helpful for unusual cases.
Aggressive digital papillary adenocarcinoma – These often have solid areas, arise on acral sites and generally show more atypia.
Microcystic adnexal carcinoma – These have an infiltrative growth pattern which may involve nerves and areas squamous differentiation.