Main menu
Common skin conditions
NEWS
Join DermNet PRO
Read more
Quick links
Lesions (benign) Diagnosis and testing
Author: Assoc Prof Patrick Emanuel, Dermatopathologist, Auckland, New Zealand, 2014.
Eccrine mixed tumours are rare. They present as slow growing nodules which typically occur on the head and neck.
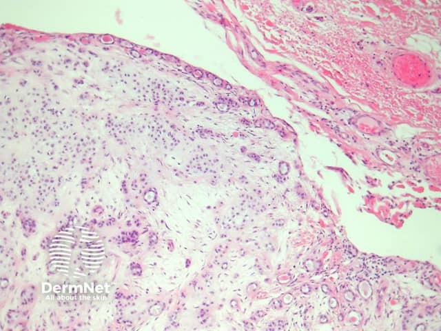
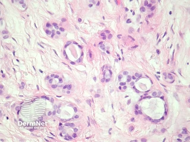
In eccrine mixed tumour, sections show small non-branching ducts set in a fibromucinous or chondroid matrix (figures 1, 2). The tumour is well circumscribed (figure 2) and based in the dermis or subcutis. The ducts are lined by bland cells which at high power resemble syringoma (figure 3). Unusual described features include cribriform glands, osseus metaplasia, and clear cell changes.

Figure 1

Figure 2

Figure 3
None are generally needed.
Syringoma – These are not set in a fibromucinous or chrondroid stroma and usually occupy the superficial dermis
Apocrine mixed tumour – These are composed of larger ducts and glands which may be branching and mixed with mature cartilage