Main menu
Common skin conditions
NEWS
Join DermNet PRO
Read more
Quick links
Follicular disorder Diagnosis and testing
Author: Dr Ben Tallon, Dermatologist/Dermatopathologist, Tauranga, New Zealand, 2012.
This lesion falls within the group of benign follicular tumours.
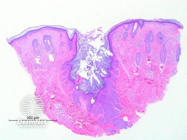
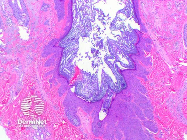
Scanning power view of dilated pore of Winer demonstrates a small invaginating epidermal process (Figure 1). This is comprised of a widened follicular infundibulum filled with a small amount of keratinous material (Figure 2). The infundibular epithelium is hyperplastic, forming small radiating strands at the base and sides of the pore (Figure 2).

Figure 1

Figure 2
Pilar sheath acanthoma: In this lesion there is more prominent hyperplasia of the outer root sheath forming tumour nodules which push into the surrounding dermis. This tumour arises from the follicular isthmus where the corneocytes take on a more red-pink colour.
Trichofolliculoma: Radiating hair follicles in variable states of maturity are seen to extend from the central dilated pore or cystic structure.
Hair cortex comedo : This lesion demonstrates infundibular epithelium associated with a dense cornified plug with compact laminated corneocytes, and matrical and supramatrical epithelium representing attempts to form the hair cortex and shaft.