Main menu
Common skin conditions
NEWS
Join DermNet PRO
Read more
Quick links
Lesions (benign) Diagnosis and testing
Author: Assoc Prof Patrick Emanuel, Dermatopathologist, Auckland, New Zealand, 2013.
Introduction Histology Special studies Differential diagnosis
Dermoid cysts are derived from the ectoderm and involve embryologic closure lines.
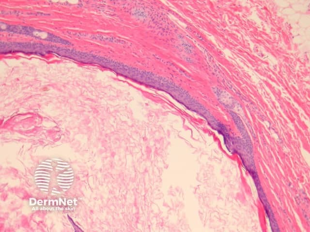
Sections show a subcutaneous cyst which is often received 'shelled out' (figure 1).
The lining is typically a keratinising squamous epithelium (figures 2, 3). The hallmark of these cysts is the presence of pilosebaceous structures in the cyst wall (figures 2, 3). Hair shafts are often found within the cyst (figure 3, arrow).
Less common findings include a columnar or mucus-secreting epithelium, smooth muscle in the cyst wall, and surrounding eccrine glands.

Figure 1

Figure 2

Figure 3
None are needed.
Steatocystoma — steatocystoma shows sebaceous glands connecting to the cyst lining but the pilar structures are not seen. The lining lacks a granular layer and has a characteristic corrugated keratin layer.