Main menu
Common skin conditions
NEWS
Join DermNet PRO
Read more
Quick links
Infections Diagnosis and testing
Author: Assoc Prof Patrick Emanuel, Dermatopathologist, Auckland, New Zealand. 2013.
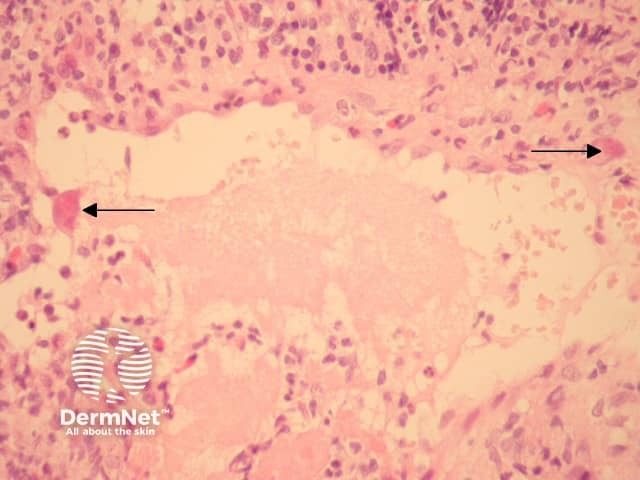
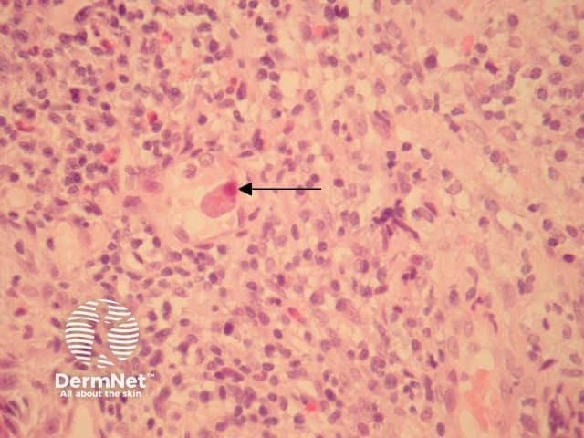
Cytomegalovirus (CMV) is a member of the family Herpesviridae. In cutaneous cytomegalovirus infection, markedly enlarged endothelial cells are seen lining small vessels (Figure 1, arrows). These are larger and eosinophilic when compared with normal or reactive endothelial cells. The hallmark histologic feature is a large intranuclear inclusion which is densely eosinophilic (Figure 2, arrow). Other cells such as fibroblasts and epithelial cells are less commonly involved.
The inclusions may be seen in the context of overlying epidermal ulceration and other non-specific inflammatory changes. Leukocytoclastic vasculitis is a described reaction pattern.

Figure 1

Figure 2

Figure 3
Immunohistochemical studies against CMV are a highly specific way of confirming the presence of the virus (Figure 3). PCR can also be used.
Reactive changes — reactive endothelial cells can become enlarged and hyperchromatic. Dense eosinophilia (Figure 1) and the classic intranuclear inclusions (Figure 2) are not seen as a reactive phenomenon. Immunohistochemistry can be useful if needed (Figure 3).