Main menu
Common skin conditions
NEWS
Join DermNet PRO
Read more
Quick links
Lesions (cancerous) Diagnosis and testing
Author: A/Prof Patrick Emanuel, Dermatopathologist, Auckland, New Zealand, 2014.
Cutaneous lymphadenoma is a follicular tumour that presents as a small dermal papule. They are regarded by many authors as a form of trichoblastoma.
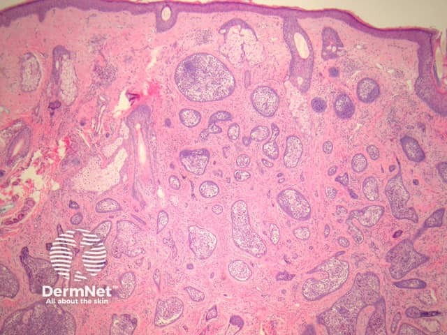
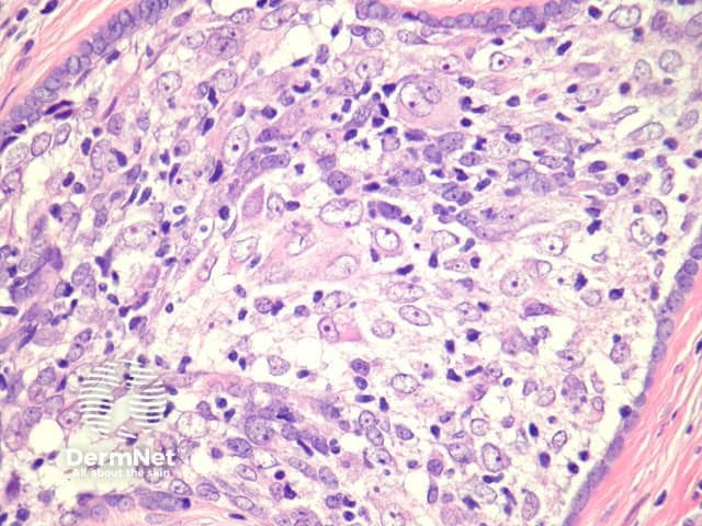
In cutaneous lymphadenoma, there is a well circumscribed dermal mass composed of large tumour islands. The surrounding stroma is fibrotic and is intimately connected to the epithelial islands (figures 1, 2). The islands are infiltrated by impressive populations of lymphocytes (figures 1–3). There is peripheral palisading surrounding the basaloid follicular cells which make up the tumour islands.

Figure 1

Figure 2

Figure 3
None are generally needed. The lymphocytes have been studied and have been shown to be a mixture of CD3 positive T-cells and CD20 positive B-cells.
The infiltrating lymphocytes are highly distinctive for cutaneous lymphadenoma. Without these, the diagnosis is that of a trichoblastoma.
Basal cell carcinoma will show retraction, irregular growth and there is a lack of the intimate relationship between the epithelium and surrounding stroma seen in benign follicular tumours.