Main menu
Common skin conditions
NEWS
Join DermNet PRO
Read more
Quick links
Infestations Diagnosis and testing
Author: Assoc Prof Patrick Emanuel, Dermatopathologist, Auckland, New Zealand, January 2015.
Crusted scabies (otherwise known as Norwegian scabies) is an uncommon, highly contagious infestation that affects patients with a weakened immune system. The infestation presents with hyperkeratotic plaques with yellowish crusts located on the limbs, trunk, ears and eyebrows.
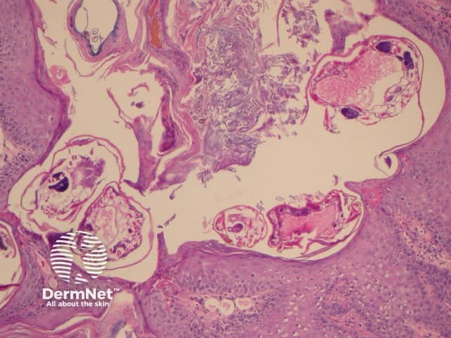
In crusted scabies, there are numerous mites within the stratum corneum. The stratum corneum is markedly thickened and there is epidermal acanthosis (figures 1, 2).

Figure 1

Figure 2
None are generally needed.
Compared with conventional scabies, the mites are far more numerous and associated with hyperkeratosis.